The NFE2L3 Antibody (CAB15761) is a high-quality antibody developed for reliable detection and analysis of target proteins. This antibody, produced in rabbits, exhibits high reactivity with human samples and has been validated for use in Western blot applications.NFE2L3, also known as Nuclear Factor, Erythroid 2 Like 3, plays a crucial role in maintaining cellular homeostasis by controlling the expression of genes involved in antioxidant defense. Dysregulation of NFE2L3 has been implicated in various diseases, including cancer, diabetes, and neurological disorders.
This antibody is validated for use in WB, IHC-P, ELISA applications and has demonstrated reactivity against Human, Mouse, Rat samples.
Product Name:
NFE2L3 Antibody
SKU:
CAB15761
Size:
20μL, 100μL
Reactivity:
Human, Mouse, Rat
Conjugate:
Unconjugated
Immunogen:
Recombinant protein (or fragment).This information is considered to be commercially sensitive.
Recommended starting concentration is 1 μg/mL. Please optimize the concentration based on your specific assay requirements.
Synonyms:
NRF3, NFE2L3
Positive Sample:
HeLa, RAW264.7
Cellular Localization:
Nucleus.
Calculated MW:
76kDa
This gene encodes a member of the cap 'n' collar basic-region leucine zipper family of transcription factors. The encoded protein heterodimerizes with small musculoaponeurotic fibrosarcoma factors to bind antioxidant response elements in target genes. This protein is a membrane bound glycoprotein that is targeted to the endoplasmic reticulum and the nuclear envelope. Pseudogenes of this gene are found on chromosomes 16, 17, and 18.
Purification Method
Affinity purification
Gene ID
9603
RRID
AB_2763179
Buffer Information
Store at -20℃. Avoid freeze / thaw cycles. Buffer: PBS containing 50% glycerol, preserved with proclin300 or sodium azide, pH 7.3.
Western blot analysis of various lysates using NFE2L3 Rabbit pAb (CAB15761) at 1:1000 dilution. Secondary antibody: HRP-conjugated Goat anti-Rabbit IgG (H+L) (CABS014) at 1:10000 dilution. Lysates/proteins: 25μg per lane. Blocking buffer: 3% nonfat dry milk in TBST. Detection: ECL Basic Kit (AbGn00020). Exposure time: 10s.
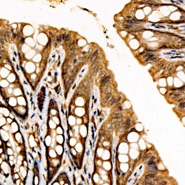
Immunohistochemistry analysis of paraffin-embedded Rat colon tissue using NFE2L3 Rabbit pAb (CAB15761) at a dilution of 1:100 (40x lens). High pressure antigen retrieval was performed with 0.01 M citrate buffer (pH 6.0) prior to IHC staining.
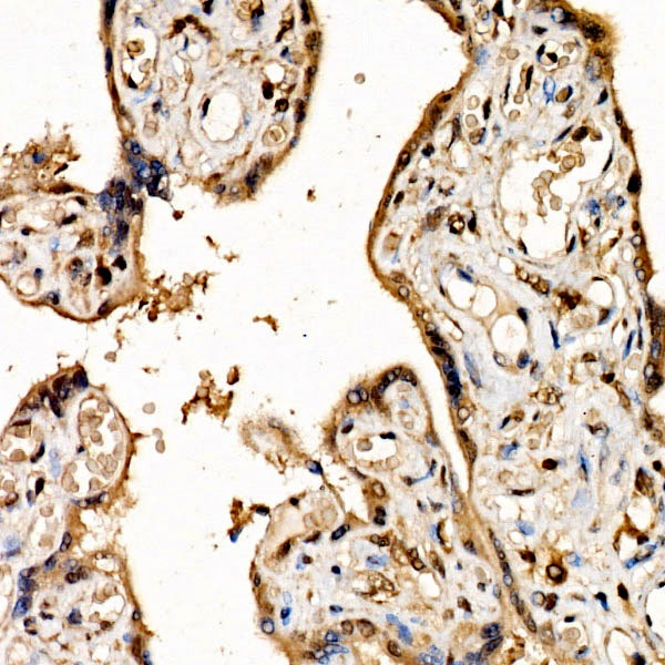
Immunohistochemistry analysis of paraffin-embedded Human placenta tissue using NFE2L3 Rabbit pAb (CAB15761) at a dilution of 1:100 (40x lens). High pressure antigen retrieval was performed with 0.01 M citrate buffer (pH 6.0) prior to IHC staining.