The NFKBIB Antibody (CAB5777) is a high-quality antibody developed for reliable detection and analysis of target proteins. The protein encoded by this gene belongs to the NF-kappa-B inhibitor family, which inhibit NF-kappa-B by complexing with, and trapping it in the cytoplasm. Phosphorylation of serine residues on these proteins by kinases marks them for destruction via the ubiquitination pathway, thereby allowing activation of the NF-kappa-B, which translocates to the nucleus to function as a transcription factor. Alternatively spliced transcript variants have been found for this gene.
This antibody is validated for use in WB, IHC-P, ELISA applications and has demonstrated reactivity against Human, Mouse, Rat samples.
Product Name:
NFKBIB Antibody
SKU:
CAB5777
Size:
100μL, 20μL
Reactivity:
Human, Mouse, Rat
Conjugate:
Unconjugated
Immunogen:
Recombinant protein (or fragment).This information is considered to be commercially sensitive.
Tested Applications:
WBIHC-PELISA
Recommended Dilution:
WB
1:500 - 1:2000
IHC-P
1:50 - 1:200
ELISA
Recommended starting concentration is 1 μg/mL. Please optimize the concentration based on your specific assay requirements.
Synonyms:
IKBB, TRIP9, NFKBIB
Positive Sample:
MCF7, 293T, Mouse liver, Mouse skeletal muscle
Cellular Localization:
Cytoplasm, Nucleus.
Calculated MW:
38kDa
Observed MW:
40-50kDa
The protein encoded by this gene belongs to the NF-kappa-B inhibitor family, which inhibit NF-kappa-B by complexing with, and trapping it in the cytoplasm. Phosphorylation of serine residues on these proteins by kinases marks them for destruction via the ubiquitination pathway, thereby allowing activation of the NF-kappa-B, which translocates to the nucleus to function as a transcription factor. Alternatively spliced transcript variants have been found for this gene.
Purification Method
Affinity purification
Gene ID
4793
RRID
AB_2766531
Buffer Information
Store at -20℃. Avoid freeze / thaw cycles. Buffer: PBS containing 50% glycerol, preserved with proclin300 or sodium azide, pH 7.3.
Western blot analysis of various lysates using NFKBIB Rabbit pAb (CAB5777) at 1:1000 dilution._Secondary antibody: HRP-conjugated Goat anti-Rabbit IgG (H+L) (AS014) at 1:10000 dilution._Lysates/proteins: 25μg per lane._Blocking buffer: 3% nonfat dry milk in TBST._Detection: ECL Enhanced Kit (AbGn00021)._Exposure time: 30s.
Immunohistochemistry analysis of paraffin-embedded Rat lung using NFKBIB Rabbit pAb (CAB5777) at dilution of 1:200 (40x lens). Microwave antigen retrieval performed with 0.01M PBS Buffer (pH 7.2) prior to IHC staining.
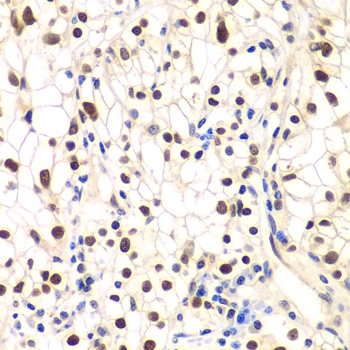
Immunohistochemistry analysis of paraffin-embedded Human kidney cancer using NFKBIB Rabbit pAb (CAB5777) at dilution of 1:200 (40x lens). Microwave antigen retrieval performed with 0.01M PBS Buffer (pH 7.2) prior to IHC staining.