The NG2/CSPG4 Polyclonal Antibody (CAB21815) is a high-quality antibody developed for reliable detection and analysis of target proteins. This antibody, generated in rabbits, exhibits strong reactivity with human samples, making it suitable for use in Western blot applications.NG2/CSPG4, a cell surface chondroitin sulfate proteoglycan, is implicated in cancer progression and metastasis, as well as in the regulation of stem cell function. Its expression has been linked to various cancer types, making it an attractive target for cancer research.
This antibody is validated for use in WB, IHC-P, IF/ICC, ELISA applications and has demonstrated reactivity against Human, Mouse samples.
Product Name:
NG2/CSPG4 Polyclonal Antibody
SKU:
CAB21815
Size:
20μL, 100μL
Reactivity:
Human, Mouse
Conjugate:
Unconjugated
Immunogen:
Recombinant protein (or fragment).This information is considered to be commercially sensitive.
Apical Cell Membrane, Cell Projection, Extracellular Side, Single-Pass Type I Membrane Protein, Lamellipodium Membrane.
Calculated MW:
251kDa
Observed MW:
250-450kDa
A human melanoma-associated chondroitin sulfate proteoglycan plays a role in stabilizing cell-substratum interactions during early events of melanoma cell spreading on endothelial basement membranes. CSPG4 represents an integral membrane chondroitin sulfate proteoglycan expressed by human malignant melanoma cells.
Purification Method
Affinity purification
Gene ID
1464
Buffer Information
Store at -20℃. Avoid freeze / thaw cycles. Buffer: PBS containing 50% glycerol, preserved with proclin300 or sodium azide, pH 7.3.
Western blot analysis of lysates from U-138 MG cells, using NG2/CSPG4 Rabbit pAb (CAB21815) at 1:6000 dilution. Secondary antibody: HRP-conjugated Goat anti-Rabbit IgG (H+L) (CABS014) at 1:10000 dilution. Lysates/proteins: 25μg per lane. Blocking buffer: 3% nonfat dry milk in TBST. Detection: ECL Basic Kit (AbGn00020). Exposure time: 180s.
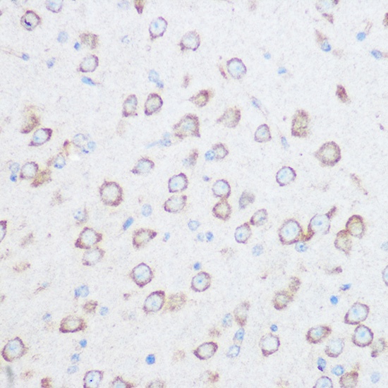
Immunohistochemistry analysis of paraffin-embedded Mouse brain using NG2/CSPG4 Rabbit pAb (CAB21815) at dilution of 1:100 (40x lens). Microwave antigen retrieval performed with 0.01M Tris/EDTA Buffer (pH 9.0) prior to IHC staining.