The NIN Antibody (CAB8215) is a high-quality antibody developed for reliable detection and analysis of target proteins. This gene encodes one of the proteins important for centrosomal function. This protein is important for positioning and anchoring the microtubules minus-ends in epithelial cells. Localization of this protein to the centrosome requires three leucine zippers in the central coiled-coil domain. Multiple alternatively spliced transcript variants that encode different isoforms have been reported.
This antibody is validated for use in WB, IHC-P, ELISA applications and has demonstrated reactivity against Human, Mouse, Rat samples.
Product Name:
NIN Antibody
SKU:
CAB8215
Size:
100μL, 20μL
Reactivity:
Human, Mouse, Rat
Conjugate:
Unconjugated
Immunogen:
Recombinant protein (or fragment).This information is considered to be commercially sensitive.
Tested Applications:
WBIHC-PELISA
Recommended Dilution:
WB
1:500 - 1:1000
IHC-P
1:50 - 1:100
ELISA
Recommended starting concentration is 1 μg/mL. Please optimize the concentration based on your specific assay requirements.
This gene encodes one of the proteins important for centrosomal function. This protein is important for positioning and anchoring the microtubules minus-ends in epithelial cells. Localization of this protein to the centrosome requires three leucine zippers in the central coiled-coil domain. Multiple alternatively spliced transcript variants that encode different isoforms have been reported.
Purification Method
Affinity purification
Gene ID
51199
RRID
AB_2770587
Buffer Information
Store at -20℃. Avoid freeze / thaw cycles. Buffer: PBS containing 50% glycerol, preserved with proclin300 or sodium azide, pH 7.3.
Western blot analysis of lysates from Jurkat cells, using NIN Rabbit pAb (CAB8215) at 1:1000 dilution._Secondary antibody: HRP-conjugated Goat anti-Rabbit IgG (H+L) (AS014) at 1:10000 dilution._Lysates/proteins: 25μg per lane._Blocking buffer: 3% nonfat dry milk in TBST._Detection: ECL Enhanced Kit (AbGn00021)._Exposure time: 90s.
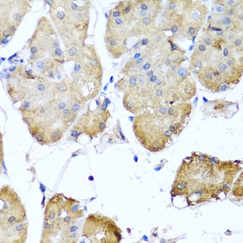
Immunohistochemistry analysis of paraffin-embedded Human stomach using NIN Rabbit pAb (CAB8215) at dilution of 1:100 (40x lens). Microwave antigen retrieval performed with 0.01M PBS Buffer (pH 7.2) prior to IHC staining.
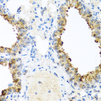
Immunohistochemistry analysis of paraffin-embedded Mouse lung using NIN Rabbit pAb (CAB8215) at dilution of 1:100 (40x lens). Microwave antigen retrieval performed with 0.01M PBS Buffer (pH 7.2) prior to IHC staining.