The NME2/NM23B Monoclonal Antibody (CAB5621) is a high-quality antibody developed for reliable detection and analysis of target proteins. This antibody is specifically designed for use in research applications, particularly in immunohistochemistry (IHC) and immunofluorescence (IF) studies. Raised in rabbits, this monoclonal antibody shows high specificity and sensitivity for detecting NME2 in various cell types and tissues, making it an ideal choice for researchers studying cancer biology, metastasis, and tumor progression. By targeting NME2, researchers can gain valuable insights into the mechanisms underlying these processes and potentially identify new therapeutic targets for cancer treatment.
This antibody is validated for use in WB, ELISA applications and has demonstrated reactivity against Mouse, Rat samples.
Product Name:
NME2/NM23B Monoclonal Antibody
SKU:
CAB5621
Size:
20μL, 100μL
Reactivity:
Mouse, Rat
Clone Number:
ARC1412
Conjugate:
Unconjugated
Immunogen:
Synthetic peptide. This information is considered to be commercially sensitive.
Nucleoside diphosphate kinase (NDK) exists as a hexamer composed of 'A' (encoded by NME1) and 'B' (encoded by this gene) isoforms. Multiple alternatively spliced transcript variants have been found for this gene. Read-through transcription from the neighboring upstream gene (NME1) generates naturally-occurring transcripts (NME1-NME2) that encode a fusion protein comprised of sequence sharing identity with each individual gene product.
Purification Method
Affinity purification
Gene ID
4831
RRID
AB_2863512
Buffer Information
Store at -20℃. Avoid freeze / thaw cycles. Buffer: PBS containing 50% glycerol and 0.05% BSA, preserved with proclin300 or sodium azide, pH 7.3.
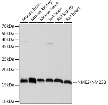
Western blot analysis of various lysates, using NME2/NM23B Rabbit mAb (CAB5621) at 1:1000 dilution. Secondary antibody: HRP-conjugated Goat anti-Rabbit IgG (H+L) (CABS014) at 1:10000 dilution. Lysates/proteins: 25μg per lane. Blocking buffer: 3% nonfat dry milk in TBST. Detection: ECL Basic Kit (AbGn00020). Exposure time: 1s.