The NOP10 Antibody (CAB18250) is a high-quality antibody developed for reliable detection and analysis of target proteins. This rabbit-derived antibody is highly specific for NOP10 in human samples and is validated for use in Western blot applications. By binding to NOP10, this antibody allows for accurate detection and analysis in various cell types, making it ideal for studies in molecular biology and genetic research.NOP10 is a key player in the formation of ribonucleoprotein complexes essential for RNA processing and ribosome assembly.
This antibody is validated for use in WB, ELISA applications and has demonstrated reactivity against Human, Mouse samples.
Product Name:
NOP10 Antibody
SKU:
CAB18250
Size:
20μL, 100μL
Reactivity:
Human, Mouse
Immunogen:
Recombinant protein (or fragment).This information is considered to be commercially sensitive.
This gene is a member of the H/ACA snoRNPs (small nucleolar ribonucleoproteins) gene family. snoRNPs are involved in various aspects of rRNA processing and modification and have been classified into two families: C/D and H/ACA. The H/ACA snoRNPs also include the DKC1, NOLA1 and NOLA2 proteins. These four H/ACA snoRNP proteins localize to the dense fibrillar components of nucleoli and to coiled (Cajal) bodies in the nucleus. Both 18S rRNA production and rRNA pseudouridylation are impaired if any one of the four proteins is depleted. The four H/ACA snoRNP proteins are also components of the telomerase complex. This gene encodes a protein related to Saccharomyces cerevisiae Nop10p.
Purification Method
Affinity purification
Gene ID
55505
RRID
AB_2862026
Buffer Information
Store at -20℃. Avoid freeze / thaw cycles. Buffer: PBS with 0.01% thimerosal,50% glycerol,pH7.3.
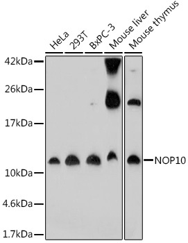
Western blot analysis of various lysates using NOP10 Rabbit pAb (CAB18250) at 1:1000 dilution. Secondary antibody: HRP-conjugated Goat anti-Rabbit IgG (H+L) (CABS014) at 1:10000 dilution. Lysates/proteins: 25μg per lane. Blocking buffer: 3% nonfat dry milk in TBST. Detection: ECL Basic Kit (AbGn00020). Exposure time: 3min.