The NQO2 Antibody (CAB11746) is a high-quality antibody developed for reliable detection and analysis of target proteins. This antibody, produced in rabbits, exhibits high specificity and sensitivity for detecting NQO2 in human samples, making it suitable for use in Western blotting applications. By targeting the NQO2 protein, researchers can accurately visualize and analyze its expression in different cell types, facilitating investigations in areas such as oxidative stress, cancer biology, and drug development.
This antibody is validated for use in WB, IHC-P, ELISA applications and has demonstrated reactivity against Human, Mouse samples.
Product Name:
NQO2 Antibody
SKU:
CAB11746
Size:
20μL, 100μL
Reactivity:
Human, Mouse
Conjugate:
Unconjugated
Immunogen:
Recombinant protein (or fragment).This information is considered to be commercially sensitive.
Recommended starting concentration is 1 μg/mL. Please optimize the concentration based on your specific assay requirements.
Synonyms:
QR2, DHQV, DIA6, NMOR2, NQO2
Positive Sample:
LO2, 293T, Mouse liver
Cellular Localization:
Cytoplasm.
Calculated MW:
26kDa
Observed MW:
26kDa
This gene encodes a member of the thioredoxin family of enzymes. It is a cytosolic and ubiquitously expressed flavoprotein that catalyzes the two-electron reduction of quinone substrates and uses dihydronicotinamide riboside as a reducing coenzyme. Mutations in this gene have been associated with neurodegenerative diseases and several cancers. Alternative splicing results in multiple transcript variants.
Purification Method
Affinity purification
Gene ID
4835
RRID
AB_2758732
Buffer Information
Store at -20℃. Avoid freeze / thaw cycles. Buffer: PBS with 0.01% thimerosal,50% glycerol,pH7.3.
Western blot analysis of various lysates using NQO2 Rabbit pAb (CAB11746) at 1:3000 dilution. Secondary antibody: HRP-conjugated Goat anti-Rabbit IgG (H+L) (CABS014) at 1:10000 dilution. Lysates/proteins: 25μg per lane. Blocking buffer: 3% nonfat dry milk in TBST. Detection: ECL Basic Kit (AbGn00020). Exposure time: 90s.
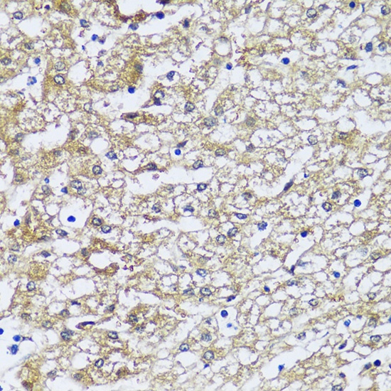
Immunohistochemistry analysis of paraffin-embedded Human liver using NQO2 Rabbit pAb (CAB11746) at dilution of 1:100 (40x lens). Microwave antigen retrieval performed with 0.01M PBS Buffer (pH 7.2) prior to IHC staining.