The NRG4 Antibody (CAB2599) is a high-quality antibody developed for reliable detection and analysis of target proteins. This antibody, raised in rabbits, is highly reactive with human samples and is validated for use in various applications, including Western blot and immunohistochemistry.NRG4 is a biomarker associated with metabolic disorders, such as obesity and diabetes, as well as various cancers. Studies have shown that NRG4 is involved in regulating lipid metabolism, glucose homeostasis, and insulin sensitivity.
This antibody is validated for use in WB, IHC-P, ELISA applications and has demonstrated reactivity against Human, Mouse, Rat samples.
Product Name:
NRG4 Antibody
SKU:
CAB2599
Size:
20μL, 100μL
Reactivity:
Human, Mouse, Rat
Conjugate:
Unconjugated
Immunogen:
Synthetic peptide. This information is considered to be commercially sensitive.
Recommended starting concentration is 1 μg/mL. Please optimize the concentration based on your specific assay requirements.
Synonyms:
HRG4, NRG4
Positive Sample:
Rat lung
Cellular Localization:
Cell Membrane, Secreted, Single-Pass Type I Membrane Protein.
Calculated MW:
13kDa
Observed MW:
13kDa
The neuregulins, including NRG4, activate type-1 growth factor receptors (see EGFR; MIM 131550) to initiating cell-to-cell signaling through tyrosine phosphorylation (Harari et al., 1999 [PubMed 10348342]).
Purification Method
Affinity purification
Gene ID
145957
RRID
AB_2764484
Buffer Information
Store at -20℃. Avoid freeze / thaw cycles. Buffer: PBS containing 50% glycerol, preserved with proclin300 or sodium azide, pH 7.3.
Western blot analysis of lysates from Rat lung, using NRG4 Rabbit pAb (CAB2599) at 1:1000 dilution. Secondary antibody: HRP-conjugated Goat anti-Rabbit IgG (H+L) (CABS014) at 1:10000 dilution. Lysates/proteins: 25μg per lane. Blocking buffer: 3% nonfat dry milk in TBST. Detection: ECL Enhanced Kit (AbGn00021). Exposure time: 60s.
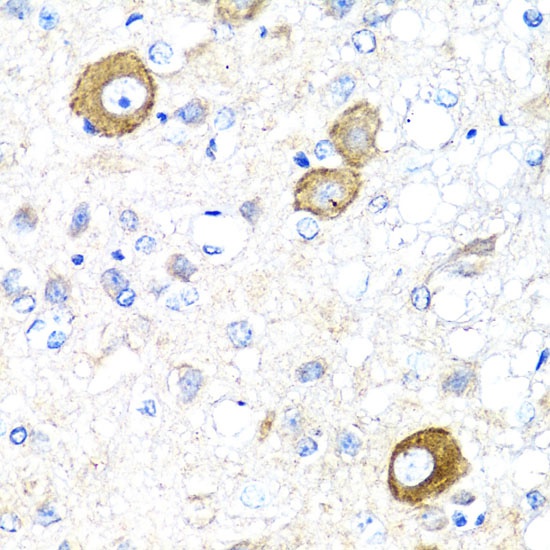
Immunohistochemistry analysis of paraffin-embedded Rat brain using NRG4 Rabbit pAb (CAB2599) at dilution of 1:100 (40x lens). Microwave antigen retrieval performed with 0.01M PBS Buffer (pH 7.2) prior to IHC staining.
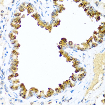
Immunohistochemistry analysis of paraffin-embedded Mouse lung using NRG4 Rabbit pAb (CAB2599) at dilution of 1:100 (40x lens). Microwave antigen retrieval performed with 0.01M PBS Buffer (pH 7.2) prior to IHC staining.
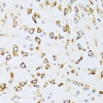
Immunohistochemistry analysis of paraffin-embedded Mouse brain using NRG4 Rabbit pAb (CAB2599) at dilution of 1:100 (40x lens). Microwave antigen retrieval performed with 0.01M PBS Buffer (pH 7.2) prior to IHC staining.