The NSA2 Antibody (CAB14475) is a high-quality antibody developed for reliable detection and analysis of target proteins. This antibody, produced in rabbits, exhibits high reactivity with human samples and is validated for use in Western blot applications. By binding to the NSA2 protein, this antibody enables accurate detection and analysis in various cell types, making it an ideal tool for studies in molecular biology and protein synthesis.
This antibody is validated for use in WB, ELISA applications and has demonstrated reactivity against Human, Mouse, Rat samples.
Product Name:
NSA2 Antibody
SKU:
CAB14475
Size:
20μL, 100μL
Reactivity:
Human, Mouse, Rat
Conjugate:
Unconjugated
Immunogen:
Recombinant protein (or fragment).This information is considered to be commercially sensitive.
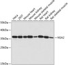
HeLa, 293T, Mouse heart, Mouse kidney, Mouse skeletal muscle, Rat heart, Rat kidney, Rat skeletal muscle
Cellular Localization:
Nucleus, Nucleolus.
Calculated MW:
30kDa
Observed MW:
37kDa
This gene encodes a nucleolar protein involved in cell cycle regulation and proliferation. This gene was identified based on sequence similarity to a highly conserved Saccharomyces cerevisiae gene encoding a pre-ribosomal protein, which is involved in large ribosomal subunit biogenesis. The encoded protein is found at elevated levels in diabetic nephropathy. Alternative splicing results in multiple transcript variants. Several related pseudogenes have been identified.
Purification Method
Affinity purification
Gene ID
10412
RRID
AB_2761347
Buffer Information
Store at -20℃. Avoid freeze / thaw cycles. Buffer: PBS with 0.01% thimerosal,50% glycerol,pH7.3.
Western blot analysis of various lysates using NSA2 Rabbit pAb (CAB14475) at 1:1000 dilution. Secondary antibody: HRP-conjugated Goat anti-Rabbit IgG (H+L) (CABS014) at 1:10000 dilution. Lysates/proteins: 25μg per lane. Blocking buffer: 3% nonfat dry milk in TBST. Detection: ECL Basic Kit (AbGn00020). Exposure time: 60s.