The NUBP1 Antibody (CAB16403) is a high-quality antibody developed for reliable detection and analysis of target proteins. This antibody, produced in rabbits, has been validated for use in Western blot applications and is highly reactive with human samples.NUBP1, also known as Nucleotide Binding Protein 1, is essential for maintaining genomic stability and protecting cells from damage caused by reactive oxygen species. Dysregulation of NUBP1 expression has been linked to diseases such as cancer and neurodegenerative disorders, making it a promising target for therapeutic interventions.
This antibody is validated for use in WB, IHC-P, ELISA applications and has demonstrated reactivity against Human, Mouse, Rat samples.
Product Name:
NUBP1 Antibody
SKU:
CAB16403
Size:
20μL, 100μL
Reactivity:
Human, Mouse, Rat
Conjugate:
Unconjugated
Immunogen:
Recombinant protein (or fragment).This information is considered to be commercially sensitive.
NUBP1 is a member of the NUBP/MRP subfamily of ATP-binding proteins (Nakashima et al., 1999 [PubMed 10486206]).
Purification Method
Affinity purification
Gene ID
4682
RRID
AB_2770682
Buffer Information
Store at -20℃. Avoid freeze / thaw cycles. Buffer: PBS with 0.01% thimerosal,50% glycerol,pH7.3.
Western blot analysis of lysates from HepG2 cells, using NUBP1 Rabbit pAb (CAB16403) at 1:1000 dilution. Secondary antibody: HRP-conjugated Goat anti-Rabbit IgG (H+L) (CABS014) at 1:10000 dilution. Lysates/proteins: 25μg per lane. Blocking buffer: 3% nonfat dry milk in TBST. Detection: ECL Basic Kit (AbGn00020). Exposure time: 1s.
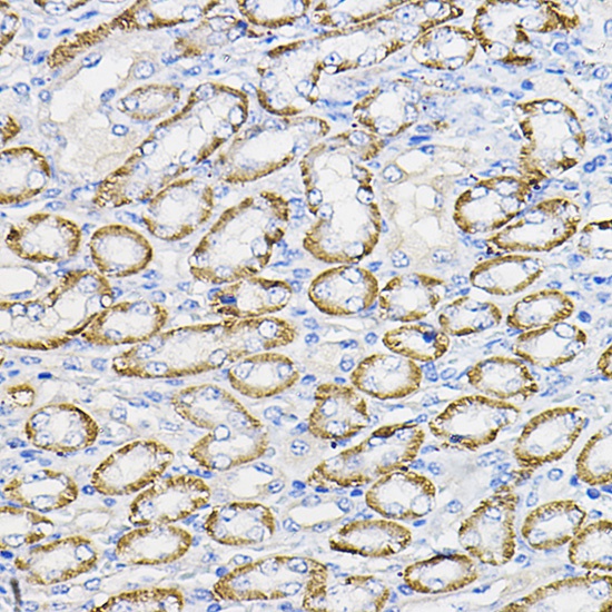
Immunohistochemistry analysis of paraffin-embedded Mouse kidney using NUBP1 Rabbit pAb (CAB16403) at dilution of 1:100 (40x lens). High pressure antigen retrieval performed with 0.01M Citrate buffer (pH 6.0) prior to IHC staining.