The NCL Antibody (CAB5904) is a high-quality antibody developed for reliable detection and analysis of target proteins. This antibody is raised in rabbits and shows high reactivity with human samples, making it suitable for a wide range of research applications.Nucleolin is known for its role in regulating gene expression, ribosome biogenesis, and nucleocytoplasmic transport, making it a key player in cell growth and proliferation. The Nucleolin Polyclonal Antibody binds specifically to nucleolin protein, allowing for its detection and analysis in different cell types.
This antibody is validated for use in WB, IHC-P, ELISA applications and has demonstrated reactivity against Human, Mouse samples.
Product Name:
NCL Antibody
SKU:
CAB5904
Size:
20μL, 100μL
Reactivity:
Human, Mouse
Conjugate:
Unconjugated
Immunogen:
Recombinant protein (or fragment).This information is considered to be commercially sensitive.
Recommended starting concentration is 1 μg/mL. Please optimize the concentration based on your specific assay requirements.
Synonyms:
C23, Nsr1, NCL
Positive Sample:
MCF7, A-549, THP-1
Cellular Localization:
Cytoplasm, Nucleus, Nucleolus.
Calculated MW:
77kDa
Observed MW:
110kDa
Nucleolin (NCL), a eukaryotic nucleolar phosphoprotein, is involved in the synthesis and maturation of ribosomes. It is located mainly in dense fibrillar regions of the nucleolus. Human NCL gene consists of 14 exons with 13 introns and spans approximately 11kb. The intron 11 of the NCL gene encodes a small nucleolar RNA, termed U20.
Purification Method
Affinity purification
Gene ID
4691
RRID
AB_2766650
Buffer Information
Store at -20℃. Avoid freeze / thaw cycles. Buffer: PBS with 0.01% thimerosal,50% glycerol,pH7.3.
Western blot analysis of various lysates using NCL Rabbit pAb (CAB5904) at 1:1000 dilution. Secondary antibody: HRP-conjugated Goat anti-Rabbit IgG (H+L) (CABS014) at 1:10000 dilution. Lysates/proteins: 25μg per lane. Blocking buffer: 3% nonfat dry milk in TBST. Detection: ECL Basic Kit (AbGn00020). Exposure time: 30s.
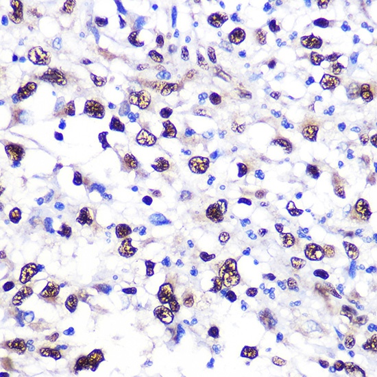
Immunohistochemistry analysis of paraffin-embedded Human liver cancer using NCL Rabbit pAb (CAB5904) at dilution of 1:100 (40x lens). Microwave antigen retrieval performed with 0.01M PBS Buffer (pH 7.2) prior to IHC staining.