The NUDT15 Antibody (CAB8368) is a high-quality antibody developed for reliable detection and analysis of target proteins. This antibody, produced in rabbits, exhibits high reactivity with human samples and has been validated for use in Western blot applications.NUDT15 is a critical enzyme in the purine metabolism pathway, playing a key role in maintaining cellular homeostasis and protecting cells from DNA damage. Mutations in the NUDT15 gene have been linked to increased sensitivity to certain chemotherapy drugs, making it a target of interest for cancer research and personalized medicine approaches.
This antibody is validated for use in WB, IHC-P, ELISA applications and has demonstrated reactivity against Human, Mouse, Rat samples.
Product Name:
NUDT15 Antibody
SKU:
CAB8368
Size:
20μL, 100μL
Reactivity:
Human, Mouse, Rat
Conjugate:
Unconjugated
Immunogen:
Recombinant protein (or fragment).This information is considered to be commercially sensitive.
Recommended starting concentration is 1 μg/mL. Please optimize the concentration based on your specific assay requirements.
Synonyms:
MTH2, NUDT15D, NUDT15
Positive Sample:
HT-29, Raji
Cellular Localization:
Cytosol.
Calculated MW:
19kDa
Observed MW:
19kDa
This gene encodes an enzyme that belongs to the Nudix hydrolase superfamily. Members of this superfamily catalyze the hydrolysis of nucleoside diphosphates, including substrates like 8-oxo-dGTP, which are a result of oxidative damage, and can induce base mispairing during DNA replication, causing transversions. The encoded enzyme is a negative regulator of thiopurine activation and toxicity. Mutations in this gene result in poor metabolism of thiopurines, and are associated with thiopurine-induced early leukopenia. Multiple pseudogenes of this gene have been identified.
Purification Method
Affinity purification
Gene ID
55270
RRID
AB_2770686
Buffer Information
Store at -20℃. Avoid freeze / thaw cycles. Buffer: PBS containing 50% glycerol, preserved with proclin300 or sodium azide, pH 7.3.
Western blot analysis of various lysates using NUDT15 Rabbit pAb (CAB8368) at 1:1000 dilution. Secondary antibody: HRP-conjugated Goat anti-Rabbit IgG (H+L) (CABS014) at 1:10000 dilution. Lysates/proteins: 25μg per lane. Blocking buffer: 3% nonfat dry milk in TBST. Detection: ECL Basic Kit (AbGn00020). Exposure time: 90s.
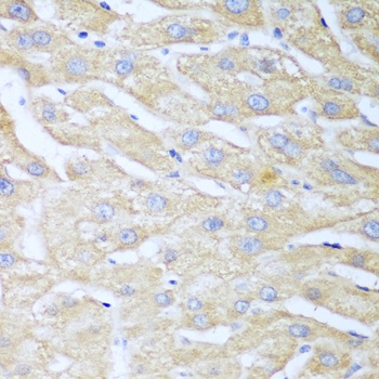
Immunohistochemistry analysis of paraffin-embedded Human liver using NUDT15 Rabbit pAb (CAB8368) at dilution of 1:100 (40x lens). Microwave antigen retrieval performed with 0.01M PBS Buffer (pH 7.2) prior to IHC staining.