The NUDT21 Antibody (CAB4482) is a high-quality antibody developed for reliable detection and analysis of target proteins. This antibody, generated in rabbits, shows high reactivity with human samples and is validated for use in Western blotting applications. It specifically binds to the NUDT21 protein, enabling accurate detection and analysis in a variety of cell types.NUDT21, also known as CFIm25, plays a crucial role in pre-mRNA 3' end processing and polyadenylation, making it an essential component of gene expression regulation. Its involvement in these processes makes it an intriguing target for studies related to gene regulation, RNA processing, and mRNA stability.
This antibody is validated for use in WB, IHC-P, ELISA applications and has demonstrated reactivity against Human, Mouse, Rat samples.
Product Name:
NUDT21 Antibody
SKU:
CAB4482
Size:
20μL, 100μL
Reactivity:
Human, Mouse, Rat
Conjugate:
Unconjugated
Immunogen:
Recombinant protein (or fragment).This information is considered to be commercially sensitive.
Recommended starting concentration is 1 μg/mL. Please optimize the concentration based on your specific assay requirements.
Synonyms:
CPSF5, CFIM25, NUDT21
Positive Sample:
HepG2, A-549, Mouse testis, Rat testis
Cellular Localization:
Nucleus.
Calculated MW:
26kDa
Observed MW:
26kDa
The protein encoded by this gene is one subunit of a cleavage factor required for 3' RNA cleavage and polyadenylation processing. The interaction of the protein with the RNA is one of the earliest steps in the assembly of the 3' end processing complex and facilitates the recruitment of other processing factors. This gene encodes the 25kD subunit of the protein complex, which is composed of four polypeptides.
Purification Method
Affinity purification
Gene ID
11051
RRID
AB_2765705
Buffer Information
Store at -20℃. Avoid freeze / thaw cycles. Buffer: PBS containing 50% glycerol, preserved with proclin300 or sodium azide, pH 7.3.
Western blot analysis of various lysates using NUDT21 Rabbit pAb (CAB4482) at 1:1000 dilution. Secondary antibody: HRP-conjugated Goat anti-Rabbit IgG (H+L) (CABS014) at 1:10000 dilution. Lysates/proteins: 25μg per lane. Blocking buffer: 3% nonfat dry milk in TBST. Detection: ECL Basic Kit (AbGn00020). Exposure time: 30s.
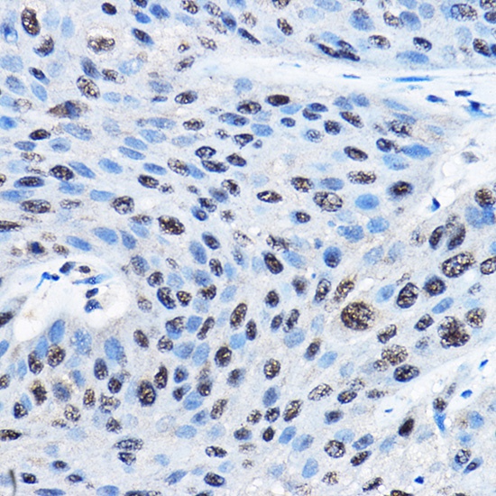
Immunohistochemistry analysis of paraffin-embedded Human esophageal cancer using NUDT21 Rabbit pAb (CAB4482) at dilution of 1:100 (40x lens). High pressure antigen retrieval performed with 0.01M Citrate buffer (pH 6.0) prior to IHC staining.