The NUP93 Polyclonal Antibody (CAB4333) is a vital tool for researchers studying the NUP93 protein, a key component of the nuclear pore complex involved in nucleocytoplasmic transport. This antibody, produced in rabbits, shows high reactivity with human samples and has been validated for use in Western blotting applications. By specifically binding to NUP93, researchers can accurately detect and analyze this protein in a variety of cell types, making it an essential asset for studies in cell biology and molecular biology.NUP93 is essential for regulating the transport of molecules between the nucleus and cytoplasm, playing a crucial role in maintaining cellular function. Research on NUP93 is particularly relevant for understanding the mechanisms of gene expression, signal transduction, and cell communication.
This antibody enables researchers to investigate the functions of NUP93 in various biological processes, providing valuable insights into gene regulation, cell growth, and development.The NUP93 Polyclonal Antibody is a valuable tool for researchers interested in unraveling the complexities of nucleocytoplasmic transport and its impact on cellular functions. By studying NUP93, researchers can gain a deeper understanding of fundamental biological processes and potentially uncover new therapeutic targets for diseases related to aberrant nucleocytoplasmic transport.
Product Name:
NUP93 Rabbit Polyclonal Antibody
SKU:
CAB4333
Size:
20uL, 100uL
Isotype:
IgG
Host Species:
Rabbit
Reactivity:
Human,Mouse,Rat
Immunogen:
Recombinant fusion protein containing a sequence corresponding to amino acids 670-819 of human NUP93 (NP_055484.3).
The nuclear pore complex is a massive structure that extends across the nuclear envelope, forming a gateway that regulates the flow of macromolecules between the nucleus and the cytoplasm. Nucleoporins are the main components of the nuclear pore complex in eukaryotic cells. This gene encodes a nucleoporin protein that localizes both to the basket of the pore and to the nuclear entry of the central gated channel of the pore. The encoded protein is a target of caspase cysteine proteases that play a central role in programmed cell death by apoptosis. Alternative splicing results in multiple transcript variants encoding different isoforms.
Purification Method:
Affinity purification
Gene ID:
9688
Storage Buffer:
Store at -20℃. Avoid freeze / thaw cycles.Buffer: PBS with 0.01% thimerosal,50% glycerol,pH7.3.
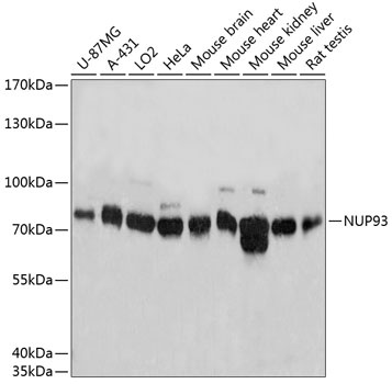
Western blot analysis of various lysates using NUP93 Rabbit pAb (CAB4333) at 1:3000 dilution.Secondary antibody: HRP Goat Anti-Rabbit IgG (H+L) (CABS014) at 1:10000 dilution.Lysates/proteins: 25μg per lane.Blocking buffer: 3% nonfat dry milk in TBST.Detection: ECL Basic Kit (AbGn00020).Exposure time: 10s.