The NXF1 Antibody (CAB5907) is a high-quality antibody developed for reliable detection and analysis of target proteins. This rabbit polyclonal antibody is highly reactive with human samples and has been validated for use in various applications such as Western blot and immunofluorescence. By specifically binding to NXF1, researchers can detect and analyze its presence in different cell types, making it an ideal tool for investigations in molecular biology and gene expression studies.
This antibody is validated for use in WB, ELISA applications and has demonstrated reactivity against Human, Mouse, Rat samples.
Product Name:
NXF1 Antibody
SKU:
CAB5907
Size:
20μL, 100μL
Reactivity:
Human, Mouse, Rat
Conjugate:
Unconjugated
Immunogen:
Synthetic peptide. This information is considered to be commercially sensitive.
Recommended starting concentration is 1 μg/mL. Please optimize the concentration based on your specific assay requirements.
Synonyms:
TAP, MEX67, NXF1
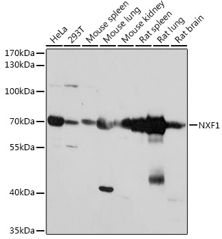
Positive Sample:
HeLa, 293T, Mouse spleen, Mouse lung, Mouse kidney, Rat spleen, Rat lung, Rat brain
Cellular Localization:
Cytoplasm, Nucleus, Nucleus Speckle, Nucleoplasm.
Calculated MW:
70kDa
Observed MW:
70kDa
This gene is one member of a family of nuclear RNA export factor genes. Common domain features of this family are a noncanonical RNP-type RNA-binding domain (RBD), 4 leucine-rich repeats (LRRs), a nuclear transport factor 2 (NTF2)-like domain that allows heterodimerization with NTF2-related export protein-1 (NXT1), and a ubiquitin-associated domain that mediates interactions with nucleoporins. The LRRs and NTF2-like domains are required for export activity. Alternative splicing seems to be a common mechanism in this gene family. The encoded protein of this gene shuttles between the nucleus and the cytoplasm and binds in vivo to poly(A)+ RNA. It is the vertebrate homologue of the yeast protein Mex67p. The encoded protein overcomes the mRNA export block caused by the presence of saturating amounts of CTE (constitutive transport element) RNA of type D retroviruses. Alternative splicing results in multiple transcript variants.
Purification Method
Affinity purification
Gene ID
10482
RRID
AB_2770703
Buffer Information
Store at -20℃. Avoid freeze / thaw cycles. Buffer: PBS with 0.01% thimerosal,50% glycerol,pH7.3.
Western blot analysis of various lysates using NXF1 Rabbit pAb (CAB5907) at 1:1000 dilution. Secondary antibody: HRP-conjugated Goat anti-Rabbit IgG (H+L) (CABS014) at 1:10000 dilution. Lysates/proteins: 25μg per lane. Blocking buffer: 3% nonfat dry milk in TBST. Detection: ECL Basic Kit (AbGn00020). Exposure time: 10s.