The OPCML Antibody (CAB2778) is a high-quality antibody developed for reliable detection and analysis of target proteins. This gene encodes a member of the IgLON subfamily in the immunoglobulin protein superfamily of proteins. The encoded preprotein is proteolytically processed to generate the mature protein. This protein is localized in the plasma membrane and may have an accessory role in opioid receptor function. This gene has an ortholog in rat and bovine. The opioid binding-cell adhesion molecule encoded by the rat gene binds opioid alkaloids in the presence of acidic lipids, exhibits selectivity for mu ligands and acts as a GPI-anchored protein. Since the encoded protein is highly conserved in species during evolution, it may have a fundamental role in mammalian systems. Alternative splicing results in multiple transcript variants, at least one of which encodes an isoform that is proteolytically processed.
This antibody is validated for use in WB, ELISA applications and has demonstrated reactivity against Human, Mouse, Rat samples.
Product Name:
OPCML Antibody
SKU:
CAB2778
Size:
100μL, 20μL
Reactivity:
Human, Mouse, Rat
Conjugate:
Unconjugated
Immunogen:
Recombinant protein (or fragment).This information is considered to be commercially sensitive.
Tested Applications:
WBELISA
Recommended Dilution:
WB
1:1000 - 1:2000
ELISA
Recommended starting concentration is 1 μg/mL. Please optimize the concentration based on your specific assay requirements.
Synonyms:
OPCM, OBCAM, IGLON1, OPCML
Positive Sample:
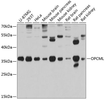
U-87MG, 293T, HeLa, Mouse brain, Mouse pancreas, Mouse kidney, Rat brain, Rat pancreas, Rat kidney
Cellular Localization:
Cell Membrane, Gpi-Anchor, Lipid-Anchor.
Calculated MW:
38kDa
Observed MW:
38kDa
This gene encodes a member of the IgLON subfamily in the immunoglobulin protein superfamily of proteins. The encoded preprotein is proteolytically processed to generate the mature protein. This protein is localized in the plasma membrane and may have an accessory role in opioid receptor function. This gene has an ortholog in rat and bovine. The opioid binding-cell adhesion molecule encoded by the rat gene binds opioid alkaloids in the presence of acidic lipids, exhibits selectivity for mu ligands and acts as a GPI-anchored protein. Since the encoded protein is highly conserved in species during evolution, it may have a fundamental role in mammalian systems. Alternative splicing results in multiple transcript variants, at least one of which encodes an isoform that is proteolytically processed.
Purification Method
Affinity purification
Gene ID
4978
RRID
AB_2764621
Buffer Information
Store at -20℃. Avoid freeze / thaw cycles. Buffer: PBS containing 50% glycerol, preserved with proclin300 or sodium azide, pH 7.3.
Western blot analysis of various lysates using OPCML Rabbit pAb (CAB2778) at 1:1000 dilution. Secondary antibody: HRP-conjugated Goat anti-Rabbit IgG (H+L) (AS014) at 1:10000 dilution. Lysates/proteins: 25μg per lane. Blocking buffer: 3% nonfat dry milk in TBST. Detection: ECL Basic Kit (AbGn00020). Exposure time: 10s.