The OSBPL3 Antibody (CAB4604) is a high-quality antibody developed for reliable detection and analysis of target proteins. This antibody, generated in rabbits, has high specificity for human samples and has been validated for use in Western blot applications. By binding to OSBPL3, the antibody allows for the detection and analysis of this protein in various cell types, making it ideal for studies in lipid biology and metabolism research.OSBPL3, also known as Oxysterol-binding protein-related protein 3, plays a crucial role in maintaining lipid homeostasis within cells by facilitating the transport and sensing of lipids.
This antibody is validated for use in WB, ELISA applications and has demonstrated reactivity against Human, Mouse, Rat samples.
Product Name:
OSBPL3 Antibody
SKU:
CAB4604
Size:
20μL, 100μL
Reactivity:
Human, Mouse, Rat
Conjugate:
Unconjugated
Immunogen:
Recombinant protein (or fragment).This information is considered to be commercially sensitive.
This gene encodes a member of the oxysterol-binding protein (OSBP) family, a group of intracellular lipid receptors. Most members contain an N-terminal pleckstrin homology domain and a highly conserved C-terminal OSBP-like sterol-binding domain. The encoded protein is involved in the regulation of cell adhesion and organization of the actin cytoskeleton. Alternative splicing results in multiple transcript variants.
Purification Method
Affinity purification
Gene ID
26031
RRID
AB_2765778
Buffer Information
Store at -20℃. Avoid freeze / thaw cycles. Buffer: PBS containing 50% glycerol, preserved with proclin300 or sodium azide, pH 7.3.
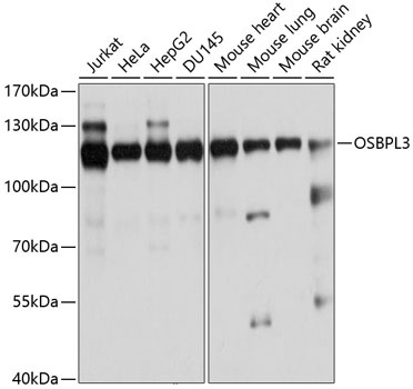
Western blot analysis of various lysates using OSBPL3 Rabbit pAb (CAB4604) at 1:1000 dilution._Secondary antibody: HRP-conjugated Goat anti-Rabbit IgG (H+L) (CABS014) at 1:10000 dilution._Lysates/proteins: 25μg per lane._Blocking buffer: 3% nonfat dry milk in TBST._Detection: ECL Basic Kit (AbGn00020)._Exposure time: 1s.