The OSGEPL1 Antibody (CAB8022) is a high-quality antibody developed for reliable detection and analysis of target proteins. This antibody, raised in rabbits, is highly specific and reactive with human samples, making it an excellent tool for studying the function of OSGEPL1 in various cellular processes.OSGEPL1, also known as O-sialoglycoprotein endopeptidase-like protein 1, is believed to play a crucial role in cellular responses to oxidative stress, which is implicated in various diseases including cancer, neurodegenerative disorders, and cardiovascular diseases.
This antibody is validated for use in WB, IHC-P, ELISA applications and has demonstrated reactivity against Human, Mouse, Rat samples.
Product Name:
OSGEPL1 Antibody
SKU:
CAB8022
Size:
20μL, 100μL
Reactivity:
Human, Mouse, Rat
Conjugate:
Unconjugated
Immunogen:
Recombinant protein (or fragment).This information is considered to be commercially sensitive.
Recommended starting concentration is 1 μg/mL. Please optimize the concentration based on your specific assay requirements.
Synonyms:
Qri7, OSGEPL, OSGEPL1
Positive Sample:
Mouse heart, Mouse kidney, Mouse liver, Mouse testis, Rat liver, Rat brain
Cellular Localization:
Mitochondrion.
Calculated MW:
45kDa
Observed MW:
45kDa
Predicted to enable N(6)-L-threonylcarbamoyladenine synthase activity and metal ion binding activity. Predicted to be involved in tRNA threonylcarbamoyladenosine modification. Located in mitochondrion.
Purification Method
Affinity purification
Gene ID
64172
RRID
AB_2770744
Buffer Information
Store at -20℃. Avoid freeze / thaw cycles. Buffer: PBS containing 50% glycerol, preserved with proclin300 or sodium azide, pH 7.3.
Western blot analysis of various lysates using OSGEPL1 Rabbit pAb (CAB8022) at 1:1000 dilution. Secondary antibody: HRP-conjugated Goat anti-Rabbit IgG (H+L) (CABS014) at 1:10000 dilution. Lysates/proteins: 25μg per lane. Blocking buffer: 3% nonfat dry milk in TBST. Detection: ECL Basic Kit (AbGn00020). Exposure time: 30s.
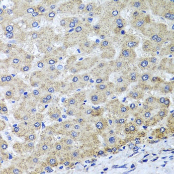
Immunohistochemistry analysis of paraffin-embedded Human liver damage using OSGEPL1 Rabbit pAb (CAB8022) at dilution of 1:100 (40x lens). Microwave antigen retrieval performed with 0.01M PBS Buffer (pH 7.2) prior to IHC staining.
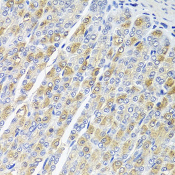
Immunohistochemistry analysis of paraffin-embedded Mouse stomach using OSGEPL1 Rabbit pAb (CAB8022) at dilution of 1:100 (40x lens). Microwave antigen retrieval performed with 0.01M PBS Buffer (pH 7.2) prior to IHC staining.