The OXT Antibody (CAB15296) is a high-quality antibody developed for reliable detection and analysis of target proteins. This gene encodes a precursor protein that is processed to produce oxytocin and neurophysin I. Oxytocin is a posterior pituitary hormone which is synthesized as an inactive precursor in the hypothalamus along with its carrier protein neurophysin I. Together with neurophysin, it is packaged into neurosecretory vesicles and transported axonally to the nerve endings in the neurohypophysis, where it is either stored or secreted into the bloodstream. The precursor seems to be activated while it is being transported along the axon to the posterior pituitary. This hormone contracts smooth muscle during parturition and lactation. It is also involved in cognition, tolerance, adaptation and complex sexual and maternal behaviour, as well as in the regulation of water excretion and cardiovascular functions.
This antibody is validated for use in WB, ELISA applications and has demonstrated reactivity against Human, Mouse, Rat samples.
Product Name:
OXT Antibody
SKU:
CAB15296
Size:
100μL, 20μL
Reactivity:
Human, Mouse, Rat
Conjugate:
Unconjugated
Immunogen:
Recombinant protein (or fragment).This information is considered to be commercially sensitive.
Tested Applications:
WBELISA
Recommended Dilution:
WB
1:200 - 1:2000
ELISA
Recommended starting concentration is 1 μg/mL. Please optimize the concentration based on your specific assay requirements.
Synonyms:
OT, OT-NPI, OXT-NPI, OXT
Positive Sample:
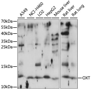
A549, NCI-H460, LO2, HepG2, Mouse liver, Rat liver, Rat lung
Cellular Localization:
Secreted.
Calculated MW:
13kDa
Observed MW:
13kDa
This gene encodes a precursor protein that is processed to produce oxytocin and neurophysin I. Oxytocin is a posterior pituitary hormone which is synthesized as an inactive precursor in the hypothalamus along with its carrier protein neurophysin I. Together with neurophysin, it is packaged into neurosecretory vesicles and transported axonally to the nerve endings in the neurohypophysis, where it is either stored or secreted into the bloodstream. The precursor seems to be activated while it is being transported along the axon to the posterior pituitary. This hormone contracts smooth muscle during parturition and lactation. It is also involved in cognition, tolerance, adaptation and complex sexual and maternal behaviour, as well as in the regulation of water excretion and cardiovascular functions.
Purification Method
Affinity purification
Gene ID
5020
RRID
AB_2762197
Buffer Information
Store at -20℃. Avoid freeze / thaw cycles. Buffer: PBS with 0.09% Sodium azide,50% glycerol,pH7.3.
Western blot analysis of various lysates using OXT Rabbit pAb (CAB15296) at 1:1000 dilution. Secondary antibody: HRP-conjugated Goat anti-Rabbit IgG (H+L) (AS014) at 1:10000 dilution. Lysates/proteins: 25μg per lane. Blocking buffer: 3% nonfat dry milk in TBST. Detection: ECL Basic Kit (AbGn00020). Exposure time: 30s.