The P2RX2 Antibody (CAB7078) is a high-quality antibody developed for reliable detection and analysis of target proteins. This antibody, produced in rabbits, is highly specific for human samples and has been validated for use in Western blotting applications.P2X Purinoceptor 2 is involved in mediating inflammatory responses, pain sensation, and immune cell activation, making it a promising target for drug development in conditions such as chronic pain, inflammation, and autoimmune diseases.
This antibody is validated for use in WB, ELISA applications and has demonstrated reactivity against Human, Mouse, Rat samples.
Product Name:
P2RX2 Antibody
SKU:
CAB7078
Size:
20μL, 100μL
Reactivity:
Human, Mouse, Rat
Conjugate:
Unconjugated
Immunogen:
Recombinant protein (or fragment).This information is considered to be commercially sensitive.
Recommended starting concentration is 1 μg/mL. Please optimize the concentration based on your specific assay requirements.
Synonyms:
P2X2, DFNA41, P2RX2
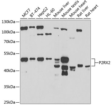
Positive Sample:
MCF7, BT-474, HepG2, HL-60, Mouse liver, Mouse testis, Mouse heart, Rat liver, Rat heart
Cellular Localization:
Cell Membrane, Multi-Pass Membrane Protein.
Calculated MW:
52kDa
Observed MW:
50-52kDa
The product of this gene belongs to the family of purinoceptors for ATP. This receptor functions as a ligand-gated ion channel. Binding to ATP mediates synaptic transmission between neurons and from neurons to smooth muscle. Multiple transcript variants encoding distinct isoforms have been identified for this gene.
Purification Method
Affinity purification
Gene ID
22953
RRID
AB_2767633
Buffer Information
Store at -20℃. Avoid freeze / thaw cycles. Buffer: PBS containing 50% glycerol, preserved with proclin300 or sodium azide, pH 7.3.
Western blot analysis of various lysates using P2RX2 Rabbit pAb (CAB7078) at 1:1000 dilution. Secondary antibody: HRP-conjugated Goat anti-Rabbit IgG (H+L) (CABS014) at 1:10000 dilution. Lysates/proteins: 25μg per lane. Blocking buffer: 3% nonfat dry milk in TBST. Detection: ECL Basic Kit (AbGn00020). Exposure time: 90s.