The P2RX5 Antibody (CAB11710) is a high-quality antibody developed for reliable detection and analysis of target proteins. This antibody, produced in rabbits, exhibits high reactivity with human samples and has been validated for use in Western blot applications.P2X purinoceptor 5 is known to play a role in modulating immune responses and has been implicated in the pathogenesis of certain inflammatory diseases. By targeting this receptor with the CAB11710 antibody, researchers can effectively detect and analyze P2X purinoceptor 5 expression in different cell types, making it an ideal choice for studies in immunology and pain research.
This antibody is validated for use in WB, IF/ICC, ELISA, IF-P applications and has demonstrated reactivity against Human, Mouse, Rat samples.
Product Name:
P2RX5 Antibody
SKU:
CAB11710
Size:
20μL, 100μL
Reactivity:
Human, Mouse, Rat
Conjugate:
Unconjugated
Immunogen:
Recombinant protein (or fragment).This information is considered to be commercially sensitive.
The product of this gene belongs to the family of purinoceptors for ATP. This receptor functions as a ligand-gated ion channel. Alternative splicing results in multiple transcript variants. Read-through transcription also exists between this gene and the neighboring downstream gene, TAX1BP3 (Tax1 binding protein 3).
Purification Method
Affinity purification
Gene ID
5026
RRID
AB_2758706
Buffer Information
Store at -20℃. Avoid freeze / thaw cycles. Buffer: PBS with 0.01% thimerosal,50% glycerol,pH7.3.
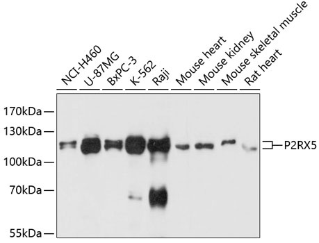
Western blot analysis of various lysates using P2RX5 Rabbit pAb (CAB11710) at 1:3000 dilution. Secondary antibody: HRP-conjugated Goat anti-Rabbit IgG (H+L) (CABS014) at 1:10000 dilution. Lysates/proteins: 25μg per lane. Blocking buffer: 3% nonfat dry milk in TBST. Detection: ECL Basic Kit (AbGn00020). Exposure time: 10s.
Immunofluorescence analysis of Jurkat cells using P2RX5 Rabbit pAb (CAB11710) at dilution of 1:100 (40x lens). Secondary antibody: Cy3-conjugated Goat anti-Rabbit IgG (H+L) (CABS007) at 1:500 dilution. Blue: DAPI for nuclear staining.