Pan Methylated Lysine Monoclonal Antibody (MACO0139)
Pan Methylated Lysine Monoclonal Antibody (MACO0139) is a premium monoclonal that offers outstanding performance and reliability for demanding research applications. Rigorously validated for ELISA, WB, IHC, this antibody ensures consistent, reproducible results across multiple experimental platforms. Conveniently packaged in 50ug format to meet your experimental needs. For optimal performance, store at -20°C or -80°C and maintains stability for 12 months. Backed by rigorous quality control testing to ensure superior performance in your critical research applications.
Product Name:
Pan Methylated Lysine Monoclonal Antibody
SKU:
MACO0139
Size:
50μg
Isotype:
IgG
Host Species:
Mouse
Reactivity:
All
Immunogen:
Conjugated Protein
Immunogen Species:
All
Form:
Liquid
Tested Applications:
ELISAWBIHC
Recommended Dilution:
Application
Recommended Dilution
WB
1:500-1:5000
IHC
1:50-1:500
Storage Buffer:
PBS, pH 7.4, containing 0.5%BSA, 0.02% sodium azide as Preservative and 50% Glycerol.
Conjugate:
Non-conjugated
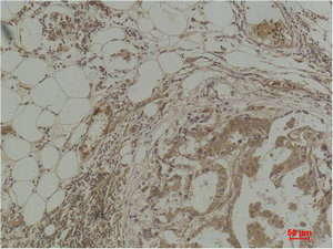
Immunohistochemical analysis of paraffin-embedded Human Breast Carcinoma using Pan Methylated Lysine Monoclonal Antibody.
Western blot analysis of Hela using Pan Methylated Lysine Monoclonal Antibody.