The PARP8 Antibody (CAB12894) is a high-quality antibody developed for reliable detection and analysis of target proteins. This antibody, produced in rabbits, demonstrates high reactivity with human samples and has been validated for use in Western blot applications. By specifically binding to the PARP8 protein, researchers can accurately detect and analyze its expression in a variety of cell types, making it ideal for studies in molecular biology and cancer research.PARP8 is known for its role in DNA repair mechanisms, particularly in response to DNA damage caused by genotoxic stress. Dysregulation of PARP8 activity has been implicated in various diseases, including cancer, where impaired DNA repair can lead to genomic instability and tumor development.
This antibody is validated for use in WB, IHC-P, ELISA applications and has demonstrated reactivity against Human, Mouse, Rat samples.
Product Name:
PARP8 Antibody
SKU:
CAB12894
Size:
20μL, 100μL
Reactivity:
Human, Mouse, Rat
Conjugate:
Unconjugated
Immunogen:
Recombinant protein (or fragment).This information is considered to be commercially sensitive.
Recommended starting concentration is 1 μg/mL. Please optimize the concentration based on your specific assay requirements.
Synonyms:
ARTD16, pART16, PARP8
Positive Sample:
Mouse skeletal muscle, Rat skeletal muscle
Calculated MW:
96kDa
Observed MW:
96kDa
Enables protein ADP-ribosylase activity. Involved in protein auto-ADP-ribosylation and protein mono-ADP-ribosylation.
Purification Method
Affinity purification
Gene ID
79668
RRID
AB_2759738
Buffer Information
Store at -20℃. Avoid freeze / thaw cycles. Buffer: PBS with 0.01% thimerosal,50% glycerol,pH7.3.
Western blot analysis of various lysates using PARP8 Rabbit pAb (CAB12894) at 1:3000 dilution. Secondary antibody: HRP-conjugated Goat anti-Rabbit IgG (H+L) (CABS014) at 1:10000 dilution. Lysates/proteins: 25μg per lane. Blocking buffer: 3% nonfat dry milk in TBST. Detection: ECL Basic Kit (AbGn00020). Exposure time: 90s.
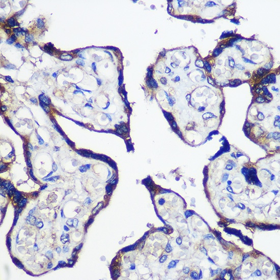
Immunohistochemistry analysis of paraffin-embedded Human placenta using PARP8 Rabbit pAb (CAB12894) at dilution of 1:100 (40x lens). Microwave antigen retrieval performed with 0.01M PBS Buffer (pH 7.2) prior to IHC staining.