The PCIF1 Polyclonal Antibody (CAB21596) is a high-quality antibody developed for reliable detection and analysis of target proteins. This antibody, generated in-house using rabbits, exhibits high specificity for human samples and is suitable for use in Western blot applications. By binding to the PCIF1 protein, this antibody enables the detection and analysis of PCIF1 in various cell types, making it an essential reagent for researchers in the fields of RNA biology, gene regulation, and cancer research.PCIF1 is a key player in the RNA splicing process, where it modulates the splicing efficiency of specific genes.
This antibody is validated for use in WB, IHC-P, IP, ELISA applications and has demonstrated reactivity against Human, Mouse, Rat samples.
Product Name:
PCIF1 Polyclonal Antibody
SKU:
CAB21596
Size:
20μL, 100μL
Reactivity:
Human, Mouse, Rat
Conjugate:
Unconjugated
Immunogen:
Recombinant protein (or fragment).This information is considered to be commercially sensitive.
Enables RNA polymerase II C-terminal domain phosphoserine binding activity; S-adenosyl-L-methionine binding activity; and mRNA (2'-O-methyladenosine-N6-)-methyltransferase activity. Involved in mRNA methylation; negative regulation of translation; and positive regulation of translation. Located in intercellular bridge; microtubule cytoskeleton; and nucleoplasm.
Purification Method
Affinity purification
Gene ID
63935
Buffer Information
Store at -20℃. Avoid freeze / thaw cycles. Buffer: PBS containing 50% glycerol, preserved with proclin300 or sodium azide, pH 7.3.
Western blot analysis of various lysates using PCIF1 Rabbit pAb (CAB21596) at 1:1000 dilution. Secondary antibody: HRP-conjugated Goat anti-Rabbit IgG (H+L) (CABS014) at 1:10000 dilution. Lysates/proteins: 25μg per lane. Blocking buffer: 3% nonfat dry milk in TBST. Detection: ECL Basic Kit (AbGn00020). Exposure time: 1s.
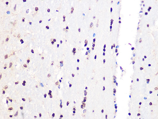
Immunohistochemistry analysis of paraffin-embedded Rat brain using PCIF1 Rabbit pAb (CAB21596) at dilution of 1:100 (40x lens). Microwave antigen retrieval performed with 0.01M Tris/EDTA Buffer (pH 9.0) prior to IHC staining.
Immunoprecipitation analysis of 200 μg extracts of Jurkat cells using 3 μg PCIF1 antibody (CAB21596). Western blot was performed from the immunoprecipitate using PCIF1 antibody (CAB21596) at a dilution of 1:1000.