The PDE6D Antibody (CAB14762) is a high-quality antibody developed for reliable detection and analysis of target proteins. This antibody, generated in rabbits, is highly specific to human samples and has been validated for use in Western blot applications.PDE6D is a key enzyme in the visual cycle, playing a crucial role in the regulation of phototransduction in the retina. Dysfunction of PDE6D has been linked to various retinal degenerative diseases, making it a potential target for therapeutic interventions aimed at preserving vision.
This antibody is validated for use in WB, IF/ICC, ELISA applications and has demonstrated reactivity against Human, Mouse, Rat samples.
Product Name:
PDE6D Antibody
SKU:
CAB14762
Size:
20μL, 100μL
Reactivity:
Human, Mouse, Rat
Conjugate:
Unconjugated
Immunogen:
Recombinant protein (or fragment).This information is considered to be commercially sensitive.
This gene encodes the delta subunit of rod-specific photoreceptor phosphodiesterase (PDE), a key enzyme in the phototransduction cascade. A similar protein in cow functions in solubilizing membrane-bound PDE. In addition to its role in the PDE complex, the encoded protein is thought to bind to prenyl groups of proteins to target them to subcellular organelles called cilia. Mutations in this gene are associated with Joubert syndrome-22. Alternative splicing results in multiple splice variants.
Purification Method
Affinity purification
Gene ID
5147
RRID
AB_2761638
Buffer Information
Store at -20℃. Avoid freeze / thaw cycles. Buffer: PBS with 0.01% thimerosal,50% glycerol,pH7.3.
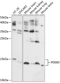
Western blot analysis of various lysates using PDE6D Rabbit pAb (CAB14762) at 1:1000 dilution. Secondary antibody: HRP-conjugated Goat anti-Rabbit IgG (H+L) (CABS014) at 1:10000 dilution. Lysates/proteins: 25μg per lane. Blocking buffer: 3% nonfat dry milk in TBST. Detection: ECL Basic Kit (AbGn00020). Exposure time: 10s.
Immunofluorescence analysis of L929 cells using PDE6D Rabbit pAb (CAB14762) at dilution of 1:100 (40x lens). Secondary antibody: Cy3-conjugated Goat anti-Rabbit IgG (H+L) (CABS007) at 1:500 dilution. Blue: DAPI for nuclear staining.