The ERp57 Antibody (CAB1085) is a high-quality antibody developed for reliable detection and analysis of target proteins. This antibody, produced in rabbits, is highly specific to human PDIA3 and has been validated for use in Western blot applications. By binding to PDIA3, the antibody allows for detection and analysis of this important protein in a variety of cell types.PDIA3, also known as protein disulfide-isomerase A3, plays a crucial role in ensuring proper protein folding and assembly, as well as in regulating cellular redox balance.
This antibody is validated for use in WB, IHC-P, IF/ICC, ELISA applications and has demonstrated reactivity against Human, Mouse, Rat samples.
Product Name:
ERp57 Antibody
SKU:
CAB1085
Size:
20μL, 100μL
Reactivity:
Human, Mouse, Rat
Conjugate:
Unconjugated
Immunogen:
Recombinant protein (or fragment).This information is considered to be commercially sensitive.
This gene encodes a protein of the endoplasmic reticulum that interacts with lectin chaperones calreticulin and calnexin to modulate folding of newly synthesized glycoproteins. The protein was once thought to be a phospholipase; however, it has been demonstrated that the protein actually has protein disulfide isomerase activity. It is thought that complexes of lectins and this protein mediate protein folding by promoting formation of disulfide bonds in their glycoprotein substrates. This protein also functions as a molecular chaperone that prevents the formation of protein aggregates.
Purification Method
Affinity purification
Gene ID
2923
RRID
AB_2758270
Buffer Information
Store at -20℃. Avoid freeze / thaw cycles. Buffer: PBS containing 50% glycerol, preserved with proclin300 or sodium azide, pH 7.3.
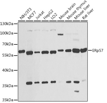
Western blot analysis of various lysates using ERp57 Rabbit pAb (CAB1085) at 1:1000 dilution. Secondary antibody: HRP-conjugated Goat anti-Rabbit IgG (H+L) (CABS014) at 1:10000 dilution. Lysates/proteins: 25μg per lane. Blocking buffer: 3% nonfat dry milk in TBST. Detection: ECL Basic Kit (AbGn00020). Exposure time: 30s.
Immunohistochemistry analysis of paraffin-embedded Human stomach using ERp57 Rabbit pAb (CAB1085) at dilution of 1:100 (40x lens). Microwave antigen retrieval performed with 0.01M PBS Buffer (pH 7.2) prior to IHC staining.