The PGA3 Antibody (CAB17321) is a high-quality antibody developed for reliable detection and analysis of target proteins. Raised in rabbits, this antibody is highly reactive with human samples and has been validated for use in Western blot applications. By binding specifically to PGA3, this antibody enables accurate detection and analysis of PGA3 in various cell types, making it an essential tool for studies in immunology and cancer research.PGA3, also known as a key player in immune response modulation, plays a crucial role in regulating inflammation and immune homeostasis. Its significance in immune function makes it a promising target for research into diseases such as cancer, autoimmune disorders, and chronic inflammatory conditions.
This antibody is validated for use in WB, ELISA applications and has demonstrated reactivity against Human, Mouse, Rat samples.
Product Name:
PGA3 Antibody
SKU:
CAB17321
Size:
20μL, 100μL
Reactivity:
Human, Mouse, Rat
Conjugate:
Unconjugated
Immunogen:
Recombinant protein (or fragment).This information is considered to be commercially sensitive.
Recommended starting concentration is 1 μg/mL. Please optimize the concentration based on your specific assay requirements.
Synonyms:
PGA3
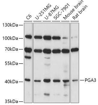
Positive Sample:
C6, U-251MG, U-87MG, SGC-7901, Mouse brain, Rat brain
Cellular Localization:
Secreted.
Calculated MW:
42kDa
Observed MW:
42kDa
This gene encodes a protein precursor of the digestive enzyme pepsin, a member of the peptidase A1 family of endopeptidases. The encoded precursor is secreted by gastric chief cells and undergoes autocatalytic cleavage in acidic conditions to form the active enzyme, which functions in the digestion of dietary proteins. This gene is found in a cluster of related genes on chromosome 11, each of which encodes one of multiple pepsinogens. Pepsinogen levels in serum may serve as a biomarker for atrophic gastritis and gastric cancer.
Purification Method
Affinity purification
Gene ID
643834
RRID
AB_2770870
Buffer Information
Store at -20℃. Avoid freeze / thaw cycles. Buffer: PBS with 0.01% thimerosal,50% glycerol,pH7.3.
Western blot analysis of various lysates using PGA3 Rabbit pAb (CAB17321) at 1:1000 dilution. Secondary antibody: HRP-conjugated Goat anti-Rabbit IgG (H+L) (CABS014) at 1:10000 dilution. Lysates/proteins: 25μg per lane. Blocking buffer: 3% nonfat dry milk in TBST. Detection: ECL Basic Kit (AbGn00020). Exposure time: 90s.