The PGAM1 Monoclonal Antibody (CAB4170) is a high-quality antibody developed for reliable detection and analysis of target proteins. The antibody, generated in rabbits, exhibits strong reactivity with human samples and is validated for use in various applications including Western blot, immunohistochemistry, and immunofluorescence.PGAM1 is a phosphoglycerate mutase enzyme that plays a crucial role in glycolysis by catalyzing the conversion of 3-phosphoglycerate to 2-phosphoglycerate. Dysregulation of PGAM1 expression has been linked to various diseases including cancer, metabolic disorders, and neurodegenerative diseases.
This antibody is validated for use in WB, IHC-P, ELISA applications and has demonstrated reactivity against Human, Mouse, Rat samples.
Product Name:
PGAM1 Monoclonal Antibody
SKU:
CAB4170
Size:
20μL, 100μL
Reactivity:
Human, Mouse, Rat
Clone Number:
ARC0913
Conjugate:
Unconjugated
Immunogen:
Synthetic peptide. This information is considered to be commercially sensitive.
The protein encoded by this gene is a mutase that catalyzes the reversible reaction of 3-phosphoglycerate (3-PGA) to 2-phosphoglycerate (2-PGA) in the glycolytic pathway. Two transcript variants encoding different isoforms have been found for this gene.
Purification Method
Affinity purification
Gene ID
5223
RRID
AB_2863201
Buffer Information
Store at -20℃. Avoid freeze / thaw cycles. Buffer: PBS containing 50% glycerol and 0.05% BSA, preserved with proclin300 or sodium azide, pH 7.3.
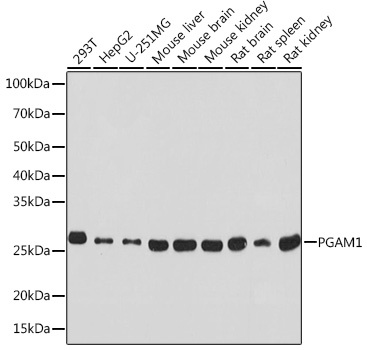
Western blot analysis of various lysates using PGAM1 Rabbit mAb (CAB4170) at 1:1000 dilution. Secondary antibody: HRP-conjugated Goat anti-Rabbit IgG (H+L) (CABS014) at 1:10000 dilution. Lysates/proteins: 25μg per lane. Blocking buffer: 3% nonfat dry milk in TBST. Detection: ECL Basic Kit (AbGn00020). Exposure time: 10s.
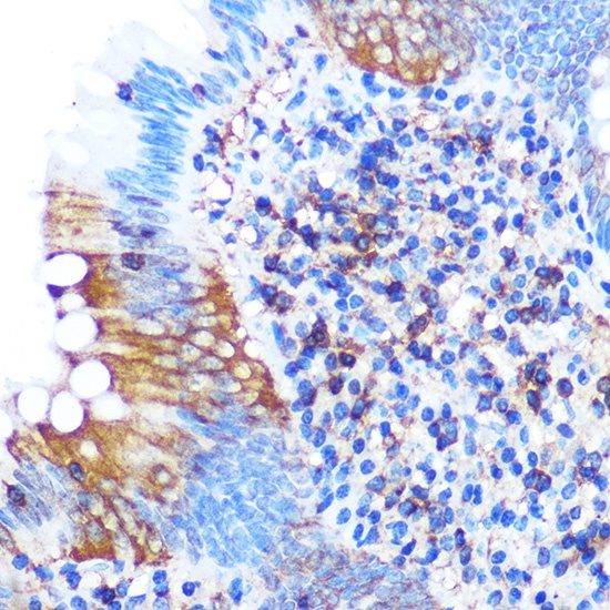
Immunohistochemistry analysis of paraffin-embedded Human appendix using PGAM1 Rabbit mAb (CAB4170) at dilution of 1:100 (40x lens). Microwave antigen retrieval performed with 0.01M PBS Buffer (pH 7.2) prior to IHC staining.