The PGK1 Monoclonal Antibody (CAB12686) is a high-quality antibody developed for reliable detection and analysis of target proteins. PGK1 is a key enzyme involved in glycolysis and is upregulated in various cancers, making it an important target for cancer research.This antibody, generated in rabbits, is highly specific and sensitive for detecting PGK1 in human samples. It has been validated for use in Western blot applications, enabling researchers to analyze the expression levels of PGK1 in different cell types and tissues.
This antibody is validated for use in WB, ELISA applications and has demonstrated reactivity against Human, Mouse, Rat samples.
Product Name:
PGK1 Monoclonal Antibody
SKU:
CAB12686
Size:
20μL, 100μL
Reactivity:
Human, Mouse, Rat
Clone Number:
ARC0700
Conjugate:
Unconjugated
Immunogen:
Synthetic peptide. This information is considered to be commercially sensitive.
Recommended starting concentration is 1 μg/mL. Please optimize the concentration based on your specific assay requirements.
Synonyms:
PGKA, MIG10, HEL-S-68p, PGK1
Positive Sample:
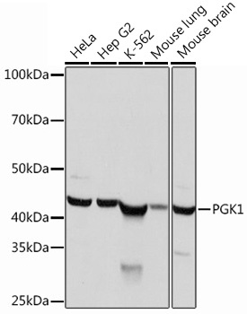
HeLa, Hep G2, K-562, Mouse lung, Mouse brain
Cellular Localization:
Cytoplasm.
Calculated MW:
45kDa
Observed MW:
45kDa
The protein encoded by this gene is a glycolytic enzyme that catalyzes the conversion of 1,3-diphosphoglycerate to 3-phosphoglycerate. The encoded protein may also act as a cofactor for polymerase alpha. Additionally, this protein is secreted by tumor cells where it participates in angiogenesis by functioning to reduce disulfide bonds in the serine protease, plasmin, which consequently leads to the release of the tumor blood vessel inhibitor angiostatin. The encoded protein has been identified as a moonlighting protein based on its ability to perform mechanistically distinct functions. Deficiency of the enzyme is associated with a wide range of clinical phenotypes hemolytic anemia and neurological impairment. Pseudogenes of this gene have been defined on chromosomes 19, 21 and the X chromosome.
Purification Method
Affinity purification
Gene ID
5230
RRID
AB_2861673
Buffer Information
Store at -20℃. Avoid freeze / thaw cycles. Buffer: PBS containing 50% glycerol and 0.05% BSA, preserved with proclin300 or sodium azide, pH 7.3.
Western blot analysis of various lysates using PGK1 Rabbit mAb (CAB12686) at 1:1000 dilution. Secondary antibody: HRP-conjugated Goat anti-Rabbit IgG (H+L) (CABS014) at 1:10000 dilution. Lysates/proteins: 25μg per lane. Blocking buffer: 3% nonfat dry milk in TBST. Detection: ECL Basic Kit (AbGn00020). Exposure time: 1s.