The PGLS Antibody (CAB8366) is a high-quality antibody developed for reliable detection and analysis of target proteins. This antibody, produced in rabbits, exhibits high reactivity with human samples and has been validated for use in Western blot applications. By specifically binding to the PGLS protein, this antibody enables the detection and analysis of PGLS in various cell types, making it ideal for investigations in biochemistry and metabolic research.PGLS plays a crucial role in the metabolic pathway that converts 6-phosphogluconolactone to 6-phosphogluconate, which is essential for maintaining cellular energy balance.
This antibody is validated for use in WB, IHC-P, ELISA applications and has demonstrated reactivity against Human, Mouse, Rat samples.
Product Name:
PGLS Antibody
SKU:
CAB8366
Size:
20μL, 100μL
Reactivity:
Human, Mouse, Rat
Conjugate:
Unconjugated
Immunogen:
Recombinant protein (or fragment).This information is considered to be commercially sensitive.
Enables 6-phosphogluconolactonase activity. Involved in pentose-phosphate shunt. Located in extracellular exosome.
Purification Method
Affinity purification
Gene ID
25796
RRID
AB_2770876
Buffer Information
Store at -20℃. Avoid freeze / thaw cycles. Buffer: PBS containing 50% glycerol, preserved with proclin300 or sodium azide, pH 7.3.
Western blot analysis of various lysates using PGLS Rabbit pAb (CAB8366) at 1:1000 dilution. Secondary antibody: HRP-conjugated Goat anti-Rabbit IgG (H+L) (CABS014) at 1:10000 dilution. Lysates/proteins: 25μg per lane. Blocking buffer: 3% nonfat dry milk in TBST. Detection: ECL Basic Kit (AbGn00020). Exposure time: 5s.
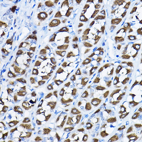
Immunohistochemistry analysis of paraffin-embedded Rat stomach using PGLS Rabbit pAb (CAB8366) at dilution of 1:200 (40x lens). High pressure antigen retrieval performed with 0.01M Citrate buffer (pH 6.0) prior to IHC staining.