The PGM2 Antibody (CAB15467) is a high-quality antibody developed for reliable detection and analysis of target proteins. This antibody, produced in rabbits, is highly specific for human samples and has been validated for use in Western blot applications. By binding to the PGM2 protein, this antibody facilitates the detection and analysis of PGM2 in a variety of cell types, making it a valuable asset for studies in metabolic disorders and cancer research.PGM2, a key player in glucose metabolism, is essential for the breakdown of carbohydrates and the production of energy in cells. Dysregulation of PGM2 activity has been linked to conditions such as diabetes, metabolic syndrome, and cancer.
This antibody is validated for use in WB, ELISA applications and has demonstrated reactivity against Human, Mouse samples.
Product Name:
PGM2 Antibody
SKU:
CAB15467
Size:
20μL, 100μL
Reactivity:
Human, Mouse
Conjugate:
Unconjugated
Immunogen:
Recombinant protein (or fragment).This information is considered to be commercially sensitive.
Enables phosphopentomutase activity. Predicted to be involved in carbohydrate metabolic process and deoxyribose phosphate catabolic process. Predicted to act upstream of or within glucose metabolic process. Located in extracellular exosome.
Purification Method
Affinity purification
Gene ID
55276
RRID
AB_2762865
Buffer Information
Store at -20℃. Avoid freeze / thaw cycles. Buffer: PBS with 0.01% thimerosal,50% glycerol,pH7.3.
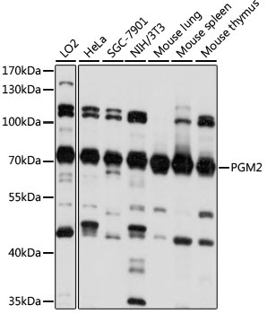
Western blot analysis of various lysates using PGM2 Rabbit pAb (CAB15467) at 1:1000 dilution. Secondary antibody: HRP-conjugated Goat anti-Rabbit IgG (H+L) (CABS014) at 1:10000 dilution. Lysates/proteins: 25μg per lane. Blocking buffer: 3% nonfat dry milk in TBST. Detection: ECL Basic Kit (AbGn00020). Exposure time: 10s.