The PHD2/EGLN1 Polyclonal Antibody (CAB1151) is a high-quality antibody developed for reliable detection and analysis of target proteins. This antibody, produced in rabbits, exhibits high specificity and sensitivity towards human samples, making it ideal for Western blot applications.PHD2, a prolyl hydroxylase enzyme, is involved in the oxygen-dependent degradation of HIF proteins, which are crucial for cellular adaptation to low oxygen levels. Dysregulation of PHD2 activity has been linked to various diseases, including cancer, cardiovascular disorders, and neurological conditions.
This antibody is validated for use in WB, IHC-P, IF/ICC, ELISA applications and has demonstrated reactivity against Human, Mouse, Rat samples.
Product Name:
PHD2/EGLN1 Polyclonal Antibody
SKU:
CAB1151
Size:
20μL, 100μL
Reactivity:
Human, Mouse, Rat
Conjugate:
Unconjugated
Immunogen:
Recombinant protein (or fragment).This information is considered to be commercially sensitive.
The protein encoded by this gene catalyzes the post-translational formation of 4-hydroxyproline in hypoxia-inducible factor (HIF) alpha proteins. HIF is a transcriptional complex that plays a central role in mammalian oxygen homeostasis. This protein functions as a cellular oxygen sensor, and under normal oxygen concentration, modification by prolyl hydroxylation is a key regulatory event that targets HIF subunits for proteasomal destruction via the von Hippel-Lindau ubiquitylation complex. Mutations in this gene are associated with erythrocytosis familial type 3 (ECYT3).
Purification Method
Affinity purification
Gene ID
54583
RRID
AB_2758588
Buffer Information
Store at -20℃. Avoid freeze / thaw cycles. Buffer: PBS containing 50% glycerol, preserved with proclin300 or sodium azide, pH 7.3.
Western blot analysis of various lysates using PHD2/EGLN1 Rabbit pAb (CAB1151) at 1:1000 dilution. Secondary antibody: HRP-conjugated Goat anti-Rabbit IgG (H+L) (CABS014) at 1:10000 dilution. Lysates/proteins: 25μg per lane. Blocking buffer: 3% nonfat dry milk in TBST.
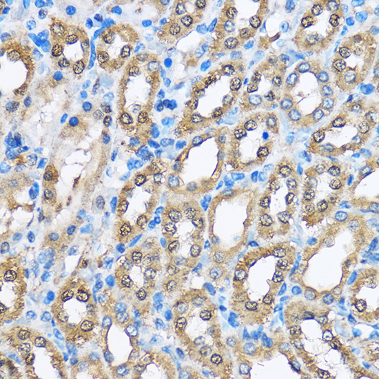
Immunohistochemistry analysis of paraffin-embedded Rat kidney using PHD2/EGLN1 Rabbit pAb (CAB1151) at dilution of 1:100 (40x lens). Microwave antigen retrieval performed with 0.01M PBS Buffer (pH 7.2) prior to IHC staining.
Immunohistochemistry analysis of paraffin-embedded Mouse brain using PHD2/EGLN1 Rabbit pAb (CAB1151) at dilution of 1:100 (40x lens). Microwave antigen retrieval performed with 0.01M PBS Buffer (pH 7.2) prior to IHC staining.
Immunofluorescence analysis of L929 cells using PHD2/EGLN1 Rabbit pAb (CAB1151) at dilution of 1:100. Blue: DAPI for nuclear staining.