The Phospho-DDR1-Y792 Antibody (CABP1072) is a high-quality antibody developed for reliable detection and analysis of target proteins. DDR1 is a receptor tyrosine kinase that plays a crucial role in cell adhesion, migration, and proliferation, making it a key player in cancer progression and metastasis.This antibody, raised in rabbits, shows high reactivity with human samples and has been validated for use in Western blot applications. By binding specifically to the phosphorylated form of DDR1 at tyrosine 792, researchers can accurately detect and analyze DDR1 activation in various cell types, providing valuable insights into its role in cancer biology.
This antibody is validated for use in WB, ELISA applications and has demonstrated reactivity against Human, Mouse, Rat samples.
Product Name:
Phospho-DDR1-Y792 Antibody
SKU:
CABP1072
Size:
20μL, 100μL
Reactivity:
Human, Mouse, Rat
Immunogen:
Synthetic peptide. This information is considered to be commercially sensitive.
Sequence:
NLYA G
Tested Applications:
WBELISA
Recommended Dilution:
WB
1:500 - 1:2000
ELISA
Recommended starting concentration is 1 μg/mL. Please optimize the concentration based on your specific assay requirements.
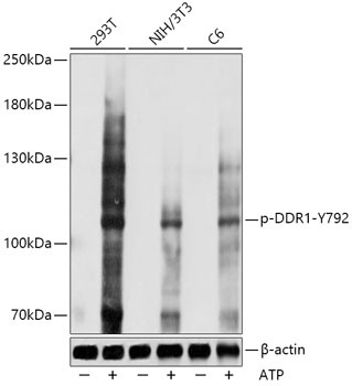
293T treated with ATP, NIH/3T3 treated with ATP, C6 treated with ATP
Cellular Localization:
Cell Membrane, Secreted, Single-Pass Type I Membrane Protein.
Calculated MW:
101kDa
Observed MW:
125kDa
Receptor tyrosine kinases play a key role in the communication of cells with their microenvironment. These kinases are involved in the regulation of cell growth, differentiation and metabolism. The protein encoded by this gene belongs to a subfamily of tyrosine kinase receptors with homology to Dictyostelium discoideum protein discoidin I in their extracellular domain, and that are activated by various types of collagen. Expression of this protein is restricted to epithelial cells, particularly in the kidney, lung, gastrointestinal tract, and brain. In addition, it has been shown to be significantly overexpressed in several human tumors. Alternatively spliced transcript variants encoding different isoforms have been described for this gene.
Purification Method
Affinity purification
Gene ID
780
RRID
AB_2863944
Buffer Information
Store at -20℃. Avoid freeze / thaw cycles. Buffer: PBS with 0.01% thimerosal,50% glycerol,pH7.3.
Western blot analysis of various lysates using Phospho-DDR1-Y792 Rabbit pAb (CABP1072) at 1:1000 dilution. 293T cells were treated with ATP(5 mM) at 30℃ for 1 hour. NIH/3T3 cells were treated with ATP(5 mM) at 30℃ for 1 hour. C6 cells were treated with ATP(5 mM) at 30℃ for 1 hour. Secondary antibody: HRP-conjugated Goat anti-Rabbit IgG (H+L) (CABS014) at 1:10000 dilution. Lysates/proteins: 25μg per lane. Blocking buffer: 3% BSA. Detection: ECL Basic Kit (AbGn00020). Exposure time: 1s.