The Phospho-eNOS-S1177 Antibody (CABP0515) is a high-quality antibody developed for reliable detection and analysis of target proteins. This antibody, generated in rabbits, exhibits high reactivity with human and mouse samples, and has been validated for use in Western blot and immunohistochemistry applications.eNOS is a crucial enzyme involved in the production of nitric oxide, a key signaling molecule in the cardiovascular system. Phosphorylation of eNOS at Ser1177 is known to enhance its enzymatic activity, leading to increased nitric oxide production and vasodilation.
This antibody is validated for use in WB, IHC-P, ELISA applications and has demonstrated reactivity against Human, Mouse samples.
Product Name:
Phospho-eNOS-S1177 Antibody
SKU:
CABP0515
Size:
20μL, 100μL
Reactivity:
Human, Mouse
Conjugate:
Unconjugated
Immunogen:
Synthetic peptide. This information is considered to be commercially sensitive.
Sequence:
TQSF S
Tested Applications:
WBIHC-PELISA
Recommended Dilution:
WB
1:500 - 1:5000
IHC-P
1:50 - 1:200
ELISA
Recommended starting concentration is 1 μg/mL. Please optimize the concentration based on your specific assay requirements.
Nitric oxide is a reactive free radical which acts as a biologic mediator in several processes, including neurotransmission and antimicrobial and antitumoral activities. Nitric oxide is synthesized from L-arginine by nitric oxide synthases. Variations in this gene are associated with susceptibility to coronary spasm. Alternative splicing and the use of alternative promoters results in multiple transcript variants.
Purification Method
Affinity purification
Gene ID
4846
RRID
AB_2771083
Buffer Information
Store at -20℃. Avoid freeze / thaw cycles. Buffer: PBS containing 50% glycerol, preserved with proclin300 or sodium azide, pH 7.3.
Western blot analysis of lysates from NIH/3T3 cells, using Phospho-eNOS-S1177 Rabbit pAb (CABP0515) at 1:1000 dilution. NIH/3T3 cells were treated with EGF (100ng/mL) for 30 minutes after serum-starvation overnight. Secondary antibody: HRP-conjugated Goat anti-Rabbit IgG (H+L) (CABS014) at 1:10000 dilution. Lysates/proteins: 25μg per lane. Blocking buffer: 3% BSA. Detection: ECL Enhanced Kit (AbGn00021). Exposure time: 60s.
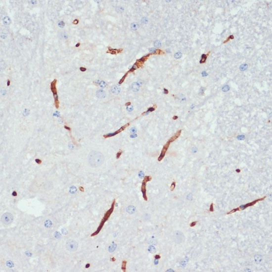
Immunohistochemistry analysis of paraffin-embedded Mouse spinal cord using Phospho-eNOS-S1177 Rabbit pAb (CABP0515) at dilution of 1:200 (40x lens). Microwave antigen retrieval performed with 0.01M Tris/EDTA Buffer (pH 9.0) prior to IHC staining.