The Phospho-IRS1-S307 Antibody (CABP0552) is a high-quality antibody developed for reliable detection and analysis of target proteins. This phosphorylation event is known to regulate insulin signaling and metabolic pathways, making it a key target for studies related to diabetes, obesity, and metabolic disorders.Raised in rabbits, this antibody is highly specific for detecting phosphorylated IRS1 (S307) in human samples and has been validated for use in Western blot applications. By targeting the phosphorylated form of IRS1 at serine 307, researchers can better understand the role of this post-translational modification in insulin signaling and metabolic regulation.
This antibody is validated for use in WB, IHC-P, ELISA applications and has demonstrated reactivity against Human, Mouse, Rat samples.
Product Name:
Phospho-IRS1-S307 Antibody
SKU:
CABP0552
Size:
20μL, 100μL
Reactivity:
Human, Mouse, Rat
Conjugate:
Unconjugated
Immunogen:
Synthetic peptide. This information is considered to be commercially sensitive.
Tested Applications:
WBIHC-PELISA
Recommended Dilution:
WB
1:500 - 1:1000
IHC-P
1:1000 - 1:5000
ELISA
Recommended starting concentration is 1 μg/mL. Please optimize the concentration based on your specific assay requirements.
This gene encodes a protein which is phosphorylated by insulin receptor tyrosine kinase. Mutations in this gene are associated with type II diabetes and susceptibility to insulin resistance.
Purification Method
Affinity purification
Gene ID
3667
RRID
AB_2771214
Buffer Information
Store at -20℃. Avoid freeze / thaw cycles. Buffer: PBS containing 50% glycerol, preserved with proclin300 or sodium azide, pH 7.3.
Western blot analysis of various lysates using Phospho-IRS1-S307(Human Specific) Rabbit pAb (CABP0552) at 1:1000 dilution. 293T cells were treated with IGF-1 (50 ng/ml) at 37℃ for 5 minutes after serum-starvation overnight. Secondary antibody: HRP-conjugated Goat anti-Rabbit IgG (H+L) (CABS014) at 1:10000 dilution. Lysates/proteins: 25μg per lane. Blocking buffer: 3% nonfat dry milk in TBST. Detection: ECL Basic Kit (AbGn00020). Exposure time: 30s.
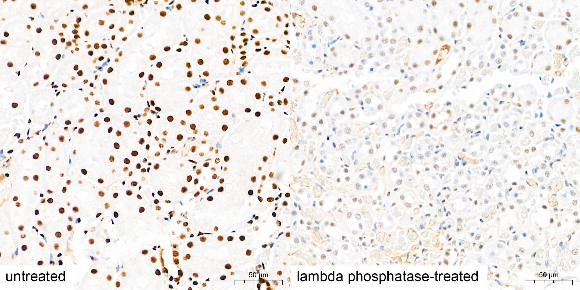
Immunohistochemistry analysis of paraffin-embedded Rat kidney tissue using Phospho-IRS1-S307(Human Specific) Rabbit pAb (CABP0552) at a dilution of 1:1600 (40x lens). High pressure antigen retrieval performed with 0.01M Citrate Buffer(pH 6.0) prior to IHC staining.
Immunohistochemistry analysis of paraffin-embedded Human liver tissue using Phospho-IRS1-S307(Human Specific) Rabbit pAb (CABP0552) at a dilution of 1:1600 (40x lens). High pressure antigen retrieval performed with 0.01M Citrate Buffer(pH 6.0) prior to IHC staining.