The Phospho-KRAS-S89 Antibody (CABP1168) is a high-quality antibody developed for reliable detection and analysis of target proteins. This antibody, raised in rabbits, exhibits high specificity and sensitivity for human samples, offering reliable detection and analysis in Western blot applications.KRAS is a key oncogene involved in cell growth and proliferation, with mutations in KRAS being frequently observed in various cancers. Phosphorylation at serine 89 has been shown to impact KRAS function and is implicated in cancer development and progression. The Phospho-KRAS (S89) Polyclonal Antibody enables researchers to explore the role of this phosphorylation event in cancer biology, providing valuable insights for potential therapeutic interventions targeting KRAS signaling pathways.
This antibody is validated for use in WB, IHC-P, ELISA applications and has demonstrated reactivity against Human, Mouse, Rat samples.
Product Name:
Phospho-KRAS-S89 Antibody
SKU:
CABP1168
Size:
20μL, 100μL
Reactivity:
Human, Mouse, Rat
Immunogen:
Synthetic peptide. This information is considered to be commercially sensitive.
Sequence:
TKSF E
Tested Applications:
WBIHC-PELISA
Recommended Dilution:
WB
1:500 - 1:2000
IHC-P
1:50 - 1:200
ELISA
Recommended starting concentration is 1 μg/mL. Please optimize the concentration based on your specific assay requirements.
This gene, a Kirsten ras oncogene homolog from the mammalian ras gene family, encodes a protein that is a member of the small GTPase superfamily. A single amino acid substitution is responsible for an activating mutation. The transforming protein that results is implicated in various malignancies, including lung adenocarcinoma, mucinous adenoma, ductal carcinoma of the pancreas and colorectal carcinoma. Alternative splicing leads to variants encoding two isoforms that differ in the C-terminal region.
Purification Method
Affinity purification
Gene ID
3845
RRID
AB_2864027
Buffer Information
Store at -20℃. Avoid freeze / thaw cycles. Buffer: PBS with 0.01% thimerosal,50% glycerol,pH7.3.
Western blot analysis of various lysates using Phospho-KRAS-S89 Rabbit pAb (CABP1168) at 1:500 dilution. Jurkat cells were treated with Pervanadate (1 mM) at 37℃ for 30 minutes. NIH/3T3 cells were treated with Pervanadate (1 mM) at 37℃ for 30 minutes. Secondary antibody: HRP-conjugated Goat anti-Rabbit IgG (H+L) (CABS014) at 1:10000 dilution. Lysates/proteins: 25μg per lane. Blocking buffer: 3% BSA. Detection: ECL Enhanced Kit (AbGn00021). Exposure time: 180s.
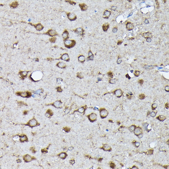
Immunohistochemistry analysis of paraffin-embedded Rat brain using Phospho-KRAS-S89 Rabbit pAb (CABP1168) at dilution of 1:100 (40x lens). High pressure antigen retrieval performed with 0.01M Citrate buffer (pH 6.0) prior to IHC staining.