The Phospho-p53-T55 Monoclonal Antibody (CABP0986) is a high-quality antibody developed for reliable detection and analysis of target proteins. This antibody, produced in rabbits, exhibits high specificity and sensitivity for detecting phospho-p53 (T55) in human samples, making it an invaluable asset for Western blot applications.Phosphorylation of p53 at threonine 55 plays a key role in regulating p53 activity and stability in response to various cellular stresses, including DNA damage and oncogenic signals. By targeting this specific phosphorylation site, researchers can gain insights into the intricate regulatory mechanisms that control p53 function and its impact on cell cycle progression, DNA repair, and apoptosis.
This antibody is validated for use in WB, ELISA applications and has demonstrated reactivity against Human samples.
Product Name:
Phospho-p53-T55 Monoclonal Antibody
SKU:
CABP0986
Size:
20μL, 100μL
Reactivity:
Human
Clone Number:
ARC1530
Conjugate:
Unconjugated
Immunogen:
Synthetic peptide. This information is considered to be commercially sensitive.
Sequence:
WFTE D
Tested Applications:
WBELISA
Recommended Dilution:
WB
1:500 - 1:2000
ELISA
Recommended starting concentration is 1 μg/mL. Please optimize the concentration based on your specific assay requirements.
This gene encodes a tumor suppressor protein containing transcriptional activation, DNA binding, and oligomerization domains. The encoded protein responds to diverse cellular stresses to regulate expression of target genes, thereby inducing cell cycle arrest, apoptosis, senescence, DNA repair, or changes in metabolism. Mutations in this gene are associated with a variety of human cancers, including hereditary cancers such as Li-Fraumeni syndrome. Alternative splicing of this gene and the use of alternate promoters result in multiple transcript variants and isoforms. Additional isoforms have also been shown to result from the use of alternate translation initiation codons from identical transcript variants (PMIDs: 12032546, 20937277).
Purification Method
Affinity purification
Gene ID
7157
RRID
AB_2863880
Buffer Information
Store at -20℃. Avoid freeze / thaw cycles. Buffer: PBS containing 50% glycerol and 0.05% BSA, preserved with proclin300 or sodium azide, pH 7.3.
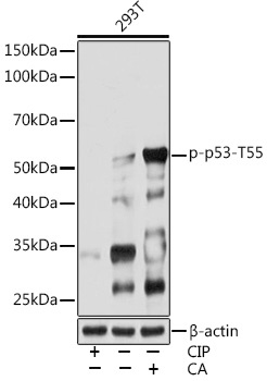
Western blot analysis of lysates from 293T cells, using Phospho-p53-T55 Rabbit mAb (CABP0986) at 1:1000 dilution. 293T cells were treated with CIP(20uL/400ul) at 37℃ for 1 hour or treated with Calyculin A (100 nM) at 37℃ for 30 minutes after serum-starvation overnight. Secondary antibody: HRP-conjugated Goat anti-Rabbit IgG (H+L) (CABS014) at 1:10000 dilution. Lysates/proteins: 25μg per lane. Blocking buffer: 3% BSA. Detection: ECL Basic Kit (AbGn00020). Exposure time: 30s.