The Phospho-PKCalpha/beta II-T638/641 Antibody (CABP0191) is a high-quality antibody developed for reliable detection and analysis of target proteins. This antibody is raised in rabbits and is highly reactive with human samples, making it a valuable tool for studying the activation and signaling pathways of PKCalpha/beta II.PKCalpha/beta II is a member of the protein kinase C (PKC) family, which plays a crucial role in various cellular processes such as cell proliferation, apoptosis, and differentiation. The phosphorylation of PKCalpha/beta II at threonine 638/641 is known to regulate its activity and function, making this antibody essential for understanding the role of PKCalpha/beta II in signaling cascades.
This antibody is validated for use in WB, IHC-P, IF/ICC, ELISA applications and has demonstrated reactivity against Human, Mouse, Rat samples.
Product Name:
Phospho-PKCalpha/beta II-T638/641 Antibody
SKU:
CABP0191
Size:
20μL, 100μL
Reactivity:
Human, Mouse, Rat
Conjugate:
Unconjugated
Immunogen:
Synthetic peptide. This information is considered to be commercially sensitive.
Sequence:
VLTP P
Tested Applications:
WBIHC-PIF/ICCELISA
Recommended Dilution:
WB
1:500 - 1:2000
IHC-P
1:50 - 1:100
IF/ICC
1:100 - 1:200
ELISA
Recommended starting concentration is 1 μg/mL. Please optimize the concentration based on your specific assay requirements.
Protein kinase C (PKC) is a family of serine- and threonine-specific protein kinases that can be activated by calcium and second messenger diacylglycerol. PKC family members phosphorylate a wide variety of protein targets and are known to be involved in diverse cellular signaling pathways. PKC family members also serve as major receptors for phorbol esters, a class of tumor promoters. Each member of the PKC family has a specific expression profile and is believed to play a distinct role in cells. The protein encoded by this gene is one of the PKC family members. This protein kinase has been reported to be involved in many different cellular functions, such as B cell activation, apoptosis induction, endothelial cell proliferation, and intestinal sugar absorption. Studies in mice also suggest that this kinase may also regulate neuronal functions and correlate fear-induced conflict behavior after stress. Alternatively spliced transcript variants encoding distinct isoforms have been reported.
Purification Method
Affinity purification
Gene ID
5578 5579
RRID
AB_2771423
Buffer Information
Store at -20℃. Avoid freeze / thaw cycles. Buffer: PBS containing 50% glycerol, preserved with proclin300 or sodium azide, pH 7.3.
Western blot analysis of lysates from NIH/3T3 cells, using Phospho-PKCalpha/beta II-T638/641 pAb (CABP0191) at 1:1000 dilution or PRKCA antibody (CAB13342). NIH/3T3 cells were treated with PMA/TPA (200nM) for 30 minutes after serum-starvation overnight. Secondary antibody: HRP-conjugated Goat anti-Rabbit IgG (H+L) (CABS014) at 1:10000 dilution. Lysates/proteins: 25μg per lane. Blocking buffer: 3% BSA. Detection: ECL Basic Kit (AbGn00020). Exposure time: 1s.
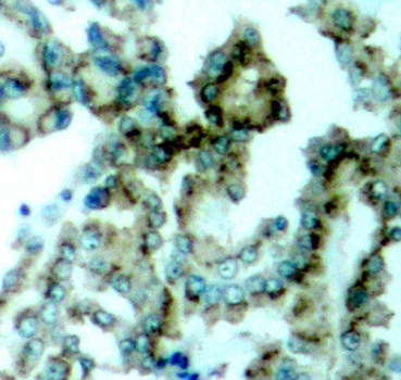
Immunohistochemistry analysis of paraffin-embedded Human lung carcinoma tissue, using Phospho-PKCalpha/beta II-T638/641 Rabbit pAb (CABP0191). Microwave antigen retrieval performed with 0.01M Tris/EDTA Buffer (pH 9.0) prior to IHC staining.