The Phospho-PLN-T17 Antibody (CABP0910) is a high-quality antibody developed for reliable detection and analysis of target proteins. PLN is a key regulator of cardiac muscle contraction and relaxation, making it a crucial target for understanding heart function and disease. This antibody, raised in rabbits, is highly specific for detecting phosphorylated PLN at threonine 17 in human samples, making it ideal for Western blot applications.Phosphorylation of PLN at threonine 17 is known to regulate the activity of the sarcoplasmic reticulum calcium ATPase (SERCA) pump, which plays a vital role in calcium homeostasis in cardiac muscle cells. Dysregulation of PLN phosphorylation has been implicated in various cardiac diseases, including heart failure and arrhythmias.
This antibody is validated for use in WB, IHC-P, ELISA applications and has demonstrated reactivity against Human, Mouse, Rat samples.
Product Name:
Phospho-PLN-T17 Antibody
SKU:
CABP0910
Size:
20μL, 100μL
Reactivity:
Human, Mouse, Rat
Immunogen:
Synthetic peptide. This information is considered to be commercially sensitive.
Sequence:
ASTI E
Tested Applications:
WBIHC-PELISA
Recommended Dilution:
WB
1:100 - 1:500
IHC-P
1:50 - 1:200
ELISA
Recommended starting concentration is 1 μg/mL. Please optimize the concentration based on your specific assay requirements.
Synonyms:
PLB, CMD1P, CMH18, Phospho-PLN-T17
Positive Sample:
HeLa
Cellular Localization:
Endoplasmic Reticulum, Mitochondrial Membrane, Mitochondrion, Perinuclear Region Of Cytoplasm.
Calculated MW:
6kDa
Observed MW:
24kDa
The protein encoded by this gene is found as a pentamer and is a major substrate for the cAMP-dependent protein kinase in cardiac muscle. The encoded protein is an inhibitor of cardiac muscle sarcoplasmic reticulum Ca(2+)-ATPase in the unphosphorylated state, but inhibition is relieved upon phosphorylation of the protein. The subsequent activation of the Ca(2+) pump leads to enhanced muscle relaxation rates, thereby contributing to the inotropic response elicited in heart by beta-agonists. The encoded protein is a key regulator of cardiac diastolic function. Mutations in this gene are a cause of inherited human dilated cardiomyopathy with refractory congestive heart failure, and also familial hypertrophic cardiomyopathy.
Purification Method
Affinity purification
Gene ID
5350
RRID
AB_2863823
Buffer Information
Store at -20℃. Avoid freeze / thaw cycles. Buffer: PBS containing 50% glycerol, preserved with proclin300 or sodium azide, pH 7.3.
Western blot analysis of lysates from HeLa cells, using Phospho-PLN-T17 Rabbit pAb (CABP0910) at 1:400 dilution. HeLa cells were treated by λ-PP mixed solution (1ul) at 30℃ for 30 minutes. Secondary antibody: HRP-conjugated Goat anti-Rabbit IgG (H+L) (CABS014) at 1:10000 dilution. Lysates/proteins: 25μg per lane. Blocking buffer: 3% nonfat dry milk in TBST. Detection: ECL Enhanced Kit (AbGn00021). Exposure time: 90s.
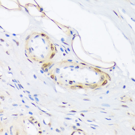
Immunohistochemistry analysis of paraffin-embedded Human appendix using Phospho-PLN-T17 Rabbit pAb (CABP0910) at dilution of 1:100 (40x lens). Microwave antigen retrieval performed with 0.01M Tris/EDTA Buffer (pH 9.0) prior to IHC staining.