The Phospho-STAT1-S727 Antibody (CABP0109) is a high-quality antibody developed for reliable detection and analysis of target proteins. This post-translational modification plays a crucial role in the activation of Stat1, a key transcription factor involved in the regulation of immune responses, cell growth, and apoptosis.Raised in rabbits, this antibody is highly specific to human samples and has been validated for use in Western blot applications. By binding to the phosphorylated form of Stat1, researchers can accurately detect and analyze the activity of this transcription factor in various cell types, providing valuable insights into signaling pathways involved in immune regulation, cancer progression, and inflammatory responses.The phosphorylation of Stat1 at serine 727 is known to enhance its transcriptional activity and promote the expression of genes involved in antiviral defense, cell differentiation, and immune regulation.
This antibody is validated for use in WB, IHC-P, ELISA applications and has demonstrated reactivity against Human, Mouse, Rat samples.
Product Name:
Phospho-STAT1-S727 Antibody
SKU:
CABP0109
Size:
20μL, 100μL
Reactivity:
Human, Mouse, Rat
Conjugate:
Unconjugated
Immunogen:
Synthetic peptide. This information is considered to be commercially sensitive.
Sequence:
PMSP EE
Tested Applications:
WBIHC-PELISA
Recommended Dilution:
WB
1:500 - 1:1000
IHC-P
1:50 - 1:200
ELISA
Recommended starting concentration is 1 μg/mL. Please optimize the concentration based on your specific assay requirements.
The protein encoded by this gene is a member of the STAT protein family. In response to cytokines and growth factors, STAT family members are phosphorylated by the receptor associated kinases, and then form homo- or heterodimers that translocate to the cell nucleus where they act as transcription activators. The protein encoded by this gene can be activated by various ligands including interferon-alpha, interferon-gamma, EGF, PDGF and IL6. This protein mediates the expression of a variety of genes, which is thought to be important for cell viability in response to different cell stimuli and pathogens. The protein plays an important role in immune responses to viral, fungal and mycobacterial pathogens. Mutations in this gene are associated with Immunodeficiency 31B, 31A, and 31C.
Purification Method
Affinity purification
Gene ID
6772
RRID
AB_2771559
Buffer Information
Store at -20℃. Avoid freeze / thaw cycles. Buffer: PBS containing 50% glycerol, preserved with proclin300 or sodium azide, pH 7.3.
Western blot analysis of lysates from HeLa cells, using Phospho-STAT1-S727 Rabbit pAb (CABP0109) at 1:1000 dilution. Secondary antibody: HRP-conjugated Goat anti-Rabbit IgG (H+L) (CABS014) at 1:10000 dilution. Lysates/proteins: 25μg per lane. Blocking buffer: 3% nonfat dry milk in TBST. Detection: ECL Basic Kit (AbGn00020). Exposure time: 60s.
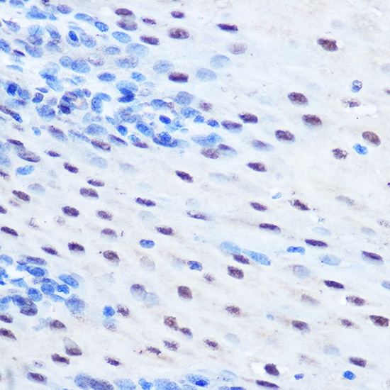
Immunohistochemistry analysis of paraffin-embedded Human esophageal using Phospho-STAT1-S727 Rabbit pAb (CABP0109) at dilution of 1:100 (40x lens). Microwave antigen retrieval performed with 0.01M Tris/EDTA Buffer (pH 9.0) prior to IHC staining.