The STAT1 Antibody (CAB0027) is a high-quality antibody developed for reliable detection and analysis of target proteins. STAT1 plays a pivotal role in the JAK/STAT signaling pathway, which is involved in immune response, cell growth, and differentiation. This antibody, produced in rabbits, exhibits high reactivity with human samples and has been validated for use in Western blot and immunohistochemistry applications.By specifically binding to STAT1, this antibody enables the detection and analysis of the protein in various cell types, making it ideal for studies in immunology, cancer research, and beyond.
This antibody is validated for use in WB, IHC-P, ELISA applications and has demonstrated reactivity against Human, Mouse, Rat samples.
Product Name:
STAT1 Antibody
SKU:
CAB0027
Size:
20μL, 100μL
Reactivity:
Human, Mouse, Rat
Conjugate:
Unconjugated
Immunogen:
Synthetic peptide. This information is considered to be commercially sensitive.
The protein encoded by this gene is a member of the STAT protein family. In response to cytokines and growth factors, STAT family members are phosphorylated by the receptor associated kinases, and then form homo- or heterodimers that translocate to the cell nucleus where they act as transcription activators. The protein encoded by this gene can be activated by various ligands including interferon-alpha, interferon-gamma, EGF, PDGF and IL6. This protein mediates the expression of a variety of genes, which is thought to be important for cell viability in response to different cell stimuli and pathogens. The protein plays an important role in immune responses to viral, fungal and mycobacterial pathogens. Mutations in this gene are associated with Immunodeficiency 31B, 31A, and 31C.
Purification Method
Affinity purification
Gene ID
6772
RRID
AB_2756900
Buffer Information
Store at -20℃. Avoid freeze / thaw cycles. Buffer: PBS with 0.09% Sodium azide,50% glycerol,pH7.3.
Western blot analysis of various lysates using STAT1 Rabbit pAb (CAB0027) at 1:5000 dilution. Secondary antibody: HRP-conjugated Goat anti-Rabbit IgG (H+L) (CABS014) at 1:10000 dilution. Lysates/proteins: 25μg per lane. Blocking buffer: 3% nonfat dry milk in TBST. Detection: ECL Enhanced Kit (AbGn00021). Exposure time: 180s.
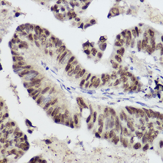
Immunohistochemistry analysis of paraffin-embedded Human lung cancer using STAT1 Rabbit pAb (CAB0027) at dilution of 1:50 (40x lens). High pressure antigen retrieval performed with 0.01M Citrate buffer (pH 6.0) prior to IHC staining.