The Phospho-STAT5-Y694 Antibody (CABP0887) is a high-quality antibody developed for reliable detection and analysis of target proteins. Stat5 is a key transcription factor involved in cellular signaling pathways, particularly in the regulation of immune responses and cell proliferation.This antibody, raised in rabbits, exhibits high reactivity with human samples and is validated for use in various applications, including Western blotting. By targeting the phosphorylated form of Stat5 at the Y694 site, this antibody enables researchers to investigate the activation status of Stat5 in different cell types and under various experimental conditions.The phosphorylation of Stat5 at Y694 plays a crucial role in signal transduction cascades that control gene expression and cellular functions.
This antibody is validated for use in WB, IHC-P, ELISA applications and has demonstrated reactivity against Human, Mouse, Rat samples.
Product Name:
Phospho-STAT5-Y694 Antibody
SKU:
CABP0887
Size:
20μL, 100μL
Reactivity:
Human, Mouse, Rat
Conjugate:
Unconjugated
Immunogen:
Synthetic peptide. This information is considered to be commercially sensitive.
Sequence:
DGYV K
Tested Applications:
WBIHC-PELISA
Recommended Dilution:
WB
1:1000-1:10000
IHC-P
1:100 - 1:200
ELISA
Recommended starting concentration is 1 μg/mL. Please optimize the concentration based on your specific assay requirements.
Synonyms:
MGF, STAT5, stat5a/stat5b, Phospho-STAT5-Y694
Positive Sample:
TF-1 treated with hGM-CSF
Cellular Localization:
Cytosol, Nucleoplasm.
Calculated MW:
90kDa
Observed MW:
90kDa
Carries out a dual signal transduction and activation of transcription. Mediates cellular responses to the cytokine KITLG/SCF and other growth factors. Mediates cellular responses to ERBB4. May mediate cellular responses to activated FGFR1, FGFR2, FGFR3 and FGFR4. Binds to the GAS element and activates PRL-induced transcription. Regulates the expression of milk proteins during lactation.
Purification Method
Affinity purification
Gene ID
6776 6777
RRID
AB_2771572
Buffer Information
Store at -20℃. Avoid freeze / thaw cycles. Buffer: PBS containing 50% glycerol, preserved with proclin300 or sodium azide, pH 7.3.
Western blot analysis of lysates from TF-1 cells using Phospho-STAT5-Y694 Rabbit pAb (CABP0887) at 1:10000 dilution incubated at room temperature for 1.5 hours. TF-1 treated with hGM-CSF (10 ng/mL) for 10 minutes. Secondary antibody: HRP-conjugated Goat anti-Rabbit IgG (H+L) (CABS014) at 1:10000 dilution. Lysates/proteins: 30 μg per lane. Blocking buffer: 3% nonfat dry milk in TBST. Detection: ECL Basic Kit (AbGn00020). Exposure time: 5 s.
Immunohistochemistry analysis of paraffin-embedded Rat heart using Phospho-STAT5-Y694 Rabbit pAb (CABP0887) at dilution of 1:200 (40x lens). Microwave antigen retrieval performed with 0.01M Tris/EDTA Buffer (pH 9.0) prior to IHC staining.
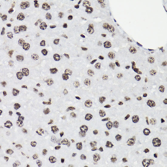
Immunohistochemistry analysis of paraffin-embedded Mouse liver using Phospho-STAT5-Y694 Rabbit pAb (CABP0887) at dilution of 1:200 (40x lens). Microwave antigen retrieval performed with 0.01M Tris/EDTA Buffer (pH 9.0) prior to IHC staining.