Description
Anti-Phospho-TP53-S33 pAb Antibody (CABP0762)
The Phospho-TP53 (S33) Polyclonal Antibody (CABP0762) is designed for research involving TP53, a tumor suppressor gene that is frequently mutated in cancer. This antibody, raised in rabbits, is highly specific for detecting phosphorylation of TP53 at serine 33 in human samples, and has been validated for use in Western blot applications.Phosphorylation of TP53 at serine 33 is known to regulate its activity and stability, influencing its ability to induce cell cycle arrest, apoptosis, and DNA repair in response to cellular stress. The Phospho-TP53 (S33) Polyclonal Antibody enables researchers to study the phosphorylation status of TP53 in various cell types, providing valuable insights into the mechanisms of TP53-mediated tumorigenesis and potential therapeutic strategies targeting this pathway.
Understanding the role of TP53 phosphorylation at serine 33 is crucial for unraveling the complex regulatory networks that govern cell growth and survival, and for developing targeted therapies aimed at restoring TP53 function in cancer cells. This antibody is a valuable tool for investigators in the fields of oncology, cell biology, and molecular biology seeking to deepen our understanding of TP53 signaling pathways and their implications for cancer treatments.
| Antibody Name: | Anti-Phospho-TP53-S33 Antibody |
| Antibody SKU: | CABP0762 |
| Antibody Size: | 20uL, 50uL, 100uL |
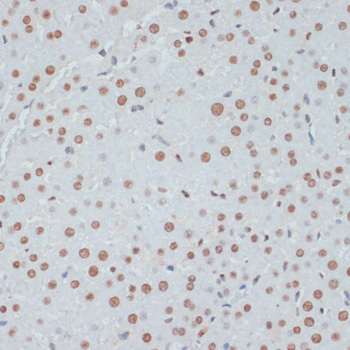
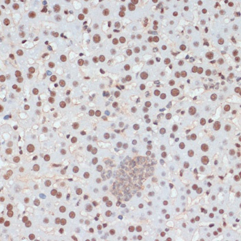
| Application: | WB IHC IP |
| Reactivity: | Human, Mouse, Rat |
| Host Species: | Rabbit |
| Immunogen: | A synthetic phosphorylated peptide around S33 of human p53 (NP_000537.3). |
| Application: | WB IHC IP |
| Recommended Dilution: | WB 1:500 - 1:2000 IHC 1:50 - 1:100 IP 1:50 - 1:100 |
| Reactivity: | Human, Mouse, Rat |
| Positive Samples: | HT-29 |
| Immunogen: | A synthetic phosphorylated peptide around S33 of human p53 (NP_000537.3). |
| Purification Method: | Affinity purification |
| Storage Buffer: | Store at -20°C. Avoid freeze / thaw cycles. Buffer: PBS with 0.02% sodium azide, 50% glycerol, pH7.3. |
| Isotype: | IgG |
| Sequence: | VLSP L |
| Gene ID: | 7157 |
| Uniprot: | P04637 |
| Cellular Location: | Cytoplasm, Endoplasmic reticulum, Mitochondrion matrix, Nucleus, PML body |
| Calculated MW: | 23-43kDa |
| Observed MW: | 55kDa |
| Synonyms: | BCC7, LFS1, P53, TRP53, p53, TP53, BMFS5 |
| Background: | This gene encodes a tumor suppressor protein containing transcriptional activation, DNA binding, and oligomerization domains. The encoded protein responds to diverse cellular stresses to regulate expression of target genes, thereby inducing cell cycle arrest, apoptosis, senescence, DNA repair, or changes in metabolism. Mutations in this gene are associated with a variety of human cancers, including hereditary cancers such as Li-Fraumeni syndrome. Alternative splicing of this gene and the use of alternate promoters result in multiple transcript variants and isoforms. Additional isoforms have also been shown to result from the use of alternate translation initiation codons from identical transcript variants (PMIDs: 12032546, 20937277). |
| UniProt Protein Function: | Function: Acts as a tumor suppressor in many tumor types; induces growth arrest or apoptosis depending on the physiological circumstances and cell type. Involved in cell cycle regulation as a trans-activator that acts to negatively regulate cell division by controlling a set of genes required for this process. One of the activated genes is an inhibitor of cyclin-dependent kinases. Apoptosis induction seems to be mediated either by stimulation of BAX and FAS antigen expression, or by repression of Bcl-2 expression. In cooperation with mitochondrial PPIF is involved in activating oxidative stress-induced necrosis; the function is largely independent of transcription. Induces the transcription of long intergenic non-coding RNA p21 (lincRNA-p21) and lincRNA-Mkln1. LincRNA-p21 participates in TP53-dependent transcriptional repression leading to apoptosis and seem to have to effect on cell-cycle regulation. Implicated in Notch signaling cross-over. Prevents CDK7 kinase activity when associated to CAK complex in response to DNA damage, thus stopping cell cycle progression. Isoform 2 enhances the transactivation activity of isoform 1 from some but not all TP53-inducible promoters. Isoform 4 suppresses transactivation activity and impairs growth suppression mediated by isoform 1. Isoform 7 inhibits isoform 1-mediatedapoptosis. Ref.34 Ref.42 Ref.61 Ref.66 Ref.70 Ref.92 Ref.94 Ref.106 Ref.109 Ref.121 Ref.124 |
| UniProt Protein Details: | Cofactor: Binds 1 zinc ion per subunit. Subunit structure: Interacts with AXIN1. Probably part of a complex consisting of TP53, HIPK2 and AXIN1 By similarity. Binds DNA as a homotetramer. Interacts with histone acetyltransferases EP300 and methyltransferases HRMT1L2 and CARM1, and recruits them to promoters. In vitro, the interaction of TP53 with cancer-associated/HPV (E6) viral proteins leads to ubiquitination and degradation of TP53 giving a possible model for cell growth regulation. This complex formation requires an additional factor, E6-AP, which stably associates with TP53 in the presence of E6. Interacts (via C-terminus) with TAF1; when TAF1 is part of the TFIID complex. Interacts with ING4; this interaction may be indirect. Found in a complex with CABLES1 and TP73. Interacts with HIPK1, HIPK2, and TP53INP1. Interacts with WWOX. May interact with HCV core protein. Interacts with USP7 and SYVN1. Interacts with HSP90AB1. Interacts with CHD8; leading to recruit histone H1 and prevent transactivation activity By similarity. Interacts with ARMC10, BANP, CDKN2AIP, NUAK1, STK11/LKB1, UHRF2 and E4F1. Interacts with YWHAZ; the interaction enhances TP53 transcriptional activity. Phosphorylation of YWHAZ on 'Ser-58' inhibits this interaction. Interacts (via DNA-binding domain) with MAML1 (via N-terminus). Interacts with MKRN1. Interacts with PML (via C-terminus). Interacts with MDM2; leading to ubiquitination and proteasomal degradation of TP53. Directly interacts with FBXO42; leading to ubiquitination and degradation of TP53. Interacts (phosphorylated at Ser-15 by ATM) with the phosphatase PP2A-PPP2R5C holoenzyme; regulates stress-induced TP53-dependent inhibition of cell proliferation. Interacts with PPP2R2A. Interacts with AURKA, DAXX, BRD7 and TRIM24. Interacts (when monomethylated at Lys-382) with L3MBTL1. Isoform 1 interacts with isoform 2 and with isoform 4. Interacts with GRK5. Binds to the CAK complex (CDK7, cyclin H and MAT1) in response to DNA damage. Interacts with CDK5 in neurons. Interacts with AURKB, SETD2, UHRF2 and NOC2L. Interacts (via N-terminus) with PTK2/FAK1; this promotes ubiquitination by MDM2. Interacts with PTK2B/PYK2; this promotes ubiquitination by MDM2. Interacts with PRKCG. Interacts with PPIF; the association implicates preferentially tetrameric TP53, is induced by oxidative stress and is impaired by cyclosporin A (CsA). Interacts with human cytomegalovirus/HHV-5 protein UL123. Interacts with SNAI1; the interaction induces SNAI1 degradation via MDM2-mediated ubiquitination and inhibits SNAI1-induced cell invasion. Interacts with KAT6A. Interacts with UBC9. Interacts with ZNF385B; the interaction is direct. Interacts (via DNA-binding domain) with ZNF385A; the interaction is direct and enhances p53/TP53 transactivation functions on cell-cycle arrest target genes, resulting in growth arrest. Interacts with ANKRD2. Ref.8 Ref.34 Ref.38 Ref.42 Ref.43 Ref.54 Ref.55 Ref.56 Ref.57 Ref.58 Ref.59 Ref.61 Ref.62 Ref.64 Ref.65 Ref.66 Ref.67 Ref.68 Ref.72 Ref.73 Ref.74 Ref.75 Ref.76 Ref.78 Ref.80 Ref.81 Ref.83 Ref.86 Ref.87 Ref.88 Ref.89 Ref.92 Ref.93 Ref.98 Ref.100 Ref.102 Ref.104 Ref.105 Ref.106 Ref.111 Ref.112 Ref.115 Ref.116 Ref.118 Ref.120 Ref.121 Ref.123 Ref.124 Ref.125 Ref.126 Ref.128 Ref.136 Ref.137 Ref.138 Ref.139 Ref.140 Ref.150 Subcellular location: Cytoplasm Ref.9 Ref.38 Ref.42 Ref.51 Ref.61 Ref.70 Ref.74 Ref.87 Ref.93 Ref.99 Ref.112 Ref.124. Nucleus. Nucleus › PML body. Endoplasmic reticulum. Mitochondrion matrix. Note: Interaction with BANP promotes nuclear localization. Recruited into PML bodies together with CHEK2. Translocates to mitochondria upon oxidative stress. Ref.9 Ref.38 Ref.42 Ref.51 Ref.61 Ref.70 Ref.74 Ref.87 Ref.93 Ref.99 Ref.112 Ref.124Isoform 1: Nucleus. Cytoplasm Ref.9 Ref.38 Ref.42 Ref.51 Ref.61 Ref.70 Ref.74 Ref.87 Ref.93 Ref.99 Ref.112 Ref.124. Note: Predominantly nuclear but localizes to the cytoplasm when expressed with isoform 4. Ref.9 Ref.38 Ref.42 Ref.51 Ref.61 Ref.70 Ref.74 Ref.87 Ref.93 Ref.99 Ref.112 Ref.124Isoform 2: Nucleus. Cytoplasm Ref.9 Ref.38 Ref.42 Ref.51 Ref.61 Ref.70 Ref.74 Ref.87 Ref.93 Ref.99 Ref.112 Ref.124. Note: Localized mainly in the nucleus with minor staining in the cytoplasm. Ref.9 Ref.38 Ref.42 Ref.51 Ref.61 Ref.70 Ref.74 Ref.87 Ref.93 Ref.99 Ref.112 Ref.124Isoform 3: Nucleus. Cytoplasm Ref.9 Ref.38 Ref.42 Ref.51 Ref.61 Ref.70 Ref.74 Ref.87 Ref.93 Ref.99 Ref.112 Ref.124. Note: Localized in the nucleus in most cells but found in the cytoplasm in some cells. Ref.9 Ref.38 Ref.42 Ref.51 Ref.61 Ref.70 Ref.74 Ref.87 Ref.93 Ref.99 Ref.112 Ref.124Isoform 4: Nucleus. Cytoplasm Ref.9 Ref.38 Ref.42 Ref.51 Ref.61 Ref.70 Ref.74 Ref.87 Ref.93 Ref.99 Ref.112 Ref.124. Note: Predominantly nuclear but translocates to the cytoplasm following cell stress. Ref.9 Ref.38 Ref.42 Ref.51 Ref.61 Ref.70 Ref.74 Ref.87 Ref.93 Ref.99 Ref.112 Ref.124Isoform 7: Nucleus. Cytoplasm Ref.9 Ref.38 Ref.42 Ref.51 Ref.61 Ref.70 Ref.74 Ref.87 Ref.93 Ref.99 Ref.112 Ref.124. Note: Localized mainly in the nucleus with minor staining in the cytoplasm. Ref.9 Ref.38 Ref.42 Ref.51 Ref.61 Ref.70 Ref.74 Ref.87 Ref.93 Ref.99 Ref.112 Ref.124Isoform 8: Nucleus. Cytoplasm Ref.9 Ref.38 Ref.42 Ref.51 Ref.61 Ref.70 Ref.74 Ref.87 Ref.93 Ref.99 Ref.112 Ref.124. Note: Localized in both nucleus and cytoplasm in most cells. In some cells, forms foci in the nucleus that are different from nucleoli. Ref.9 Ref.38 Ref.42 Ref.51 Ref.61 Ref.70 Ref.74 Ref.87 Ref.93 Ref.99 Ref.112 Ref.124Isoform 9: Cytoplasm Ref.9 Ref.38 Ref.42 Ref.51 Ref.61 Ref.70 Ref.74 Ref.87 Ref.93 Ref.99 Ref.112 Ref.124. Tissue specificity: Ubiquitous. Isoforms are expressed in a wide range of normal tissues but in a tissue-dependent manner. Isoform 2 is expressed in most normal tissues but is not detected in brain, lung, prostate, muscle, fetal brain, spinal cord and fetal liver. Isoform 3 is expressed in most normal tissues but is not detected in lung, spleen, testis, fetal brain, spinal cord and fetal liver. Isoform 7 is expressed in most normal tissues but is not detected in prostate, uterus, skeletal muscle and breast. Isoform 8 is detected only in colon, bone marrow, testis, fetal brain and intestine. Isoform 9 is expressed in most normal tissues but is not detected in brain, heart, lung, fetal liver, salivary gland, breast or intestine. Ref.9 Induction: Up-regulated in response to DNA damage. Isoform 2 is not induced in tumor cells in response to stress. Ref.9 Ref.38 Domain: The nuclear export signal acts as a transcriptional repression domain. The TADI and TADII motifs (residues 17 to 25 and 48 to 56) correspond both to 9aaTAD motifs which are transactivation domains present in a large number of yeast and animal transcription factors. Ref.48 Ref.91 Post-translational modification: Acetylated. Acetylation of Lys-382 by CREBBP enhances transcriptional activity. Deacetylation of Lys-382 by SIRT1 impairs its ability to induce proapoptotic program and modulate cell senescence. Ref.40 Ref.47 Ref.60 Ref.116 Ref.128Phosphorylation on Ser residues mediates transcriptional activation. Phosphorylated by HIPK1 By similarity. Phosphorylation at Ser-9 by HIPK4 increases repression activity on BIRC5 promoter. Phosphorylated on Thr-18 by VRK1. Phosphorylated on Ser-20 by CHEK2 in response to DNA damage, which prevents ubiquitination by MDM2. Phosphorylated on Ser-20 by PLK3 in response to reactive oxygen species (ROS), promoting p53/TP53-mediated apoptosis. Phosphorylated on Thr-55 by TAF1, which promotes MDM2-mediated degradation. Phosphorylated on Ser-33 by CDK7 in a CAK complex in response to DNA damage. Phosphorylated on Ser-46 by HIPK2 upon UV irradiation. Phosphorylation on Ser-46 is required for acetylation by CREBBP. Phosphorylated on Ser-392 following UV but not gamma irradiation. Phosphorylated on Ser-15 upon ultraviolet irradiation; which is enhanced by interaction with BANP. Phosphorylated by NUAK1 at Ser-15 and Ser-392; was intially thought to be mediated by STK11/LKB1 but it was later shown that it is indirect and that STK11/LKB1-dependent phosphorylation is probably mediated by downstream NUAK1 (Ref.123). It is unclear whether AMP directly mediates phosphorylation at Ser-15. Phosphorylated on Thr-18 by isoform 1 and isoform 2 of VRK2. Phosphorylation on Thr-18 by isoform 2 of VRK2 results in a reduction in ubiquitination by MDM2 and an increase in acetylation by EP300. Stabilized by CDK5-mediated phosphorylation in response to genotoxic and oxidative stresses at Ser-15, Ser-33 and Ser-46, leading to accumulation of p53/TP53, particularly in the nucleus, thus inducing the transactivation of p53/TP53 target genes. Phosphorylated by DYRK2 at Ser-46 in response to genotoxic stress. Phosphorylated at Ser-315 and Ser-392 by CDK2 in response to DNA-damage. Ref.28 Ref.29 Ref.30 Ref.33 Ref.36 Ref.38 Ref.41 Ref.44 Ref.46 Ref.49 Ref.50 Ref.52 Ref.53 Ref.57 Ref.58 Ref.61 Ref.68 Ref.72 Ref.74 Ref.77 Ref.78 Ref.79 Ref.81 Ref.85 Ref.90 Ref.93 Ref.94 Ref.100 Ref.110 Ref.115 Ref.121 Ref.123 Ref.125Dephosphorylated by PP2A-PPP2R5C holoenzyme at Thr-55. SV40 small T antigen inhibits the dephosphorylation by the AC form of PP2A. Ref.28 Ref.29 Ref.30 Ref.33 Ref.36 Ref.38 Ref.41 Ref.44 Ref.46 Ref.49 Ref.50 Ref.52 Ref.53 Ref.57 Ref.58 Ref.61 Ref.68 Ref.72 Ref.74 Ref.77 Ref.78 Ref.79 Ref.81 Ref.85 Ref.90 Ref.93 Ref.94 Ref.100 Ref.110 Ref.115 Ref.121 Ref.123 Ref.125May be O-glycosylated in the C-terminal basic region. Studied in EB-1 cell line. Ref.32Ubiquitinated by MDM2 and SYVN1, which leads to proteasomal degradation. Ubiquitinated by RFWD3, which works in cooperation with MDM2 and may catalyze the formation of short polyubiquitin chains on p53/TP53 that are not targeted to the proteasome. Ubiquitinated by MKRN1 at Lys-291 and Lys-292, which leads to proteasomal degradation. Deubiquitinated by USP10, leading to its stabilization. Ubiquitinated by TRIM24, which leads to proteasomal degradation. Ubiquitination by TOPORS induces degradation. Deubiquitination by USP7, leading to stabilization. Isoform 4 is monoubiquitinated in an MDM2-independent manner. Ref.39 Ref.61 Ref.69 Ref.70 Ref.87 Ref.99 Ref.102 Ref.103 Ref.106 Ref.108 Ref.112 Ref.117Monomethylated at Lys-372 by SETD7, leading to stabilization and increased transcriptional activation. Monomethylated at Lys-370 by SMYD2, leading to decreased DNA-binding activity and subsequent transcriptional regulation activity. Lys-372 monomethylation prevents interaction with SMYD2 and subsequent monomethylation at Lys-370. Dimethylated at Lys-373 by EHMT1 and EHMT2. Monomethylated at Lys-382 by SETD8, promoting interaction with L3MBTL1 and leading to repress transcriptional activity. Dimethylation at Lys-370 and Lys-382 diminishes p53 ubiquitination, through stabilizing association with the methyl reader PHF20. Demethylation of dimethylated Lys-370 by KDM1A prevents interaction with TP53BP1 and represses TP53-mediated transcriptional activation. Ref.71 Ref.82 Ref.84 Ref.95 Ref.96 Ref.113 Ref.127 Ref.140Sumoylated with SUMO1. Sumoylated at Lys-386 by UBC9. Ref.35 Ref.51 Ref.125 Involvement in disease: TP53 is found in increased amounts in a wide variety of transformed cells. TP53 is frequently mutated or inactivated in about 60% of cancers. TP53 defects are found in Barrett metaplasia a condition in which the normally stratified squamous epithelium of the lower esophagus is replaced by a metaplastic columnar epithelium. The condition develops as a complication in approximately 10% of patients with chronic gastroesophageal reflux disease and predisposes to the development of esophageal adenocarcinoma.Esophageal cancer (ESCR) [MIM:133239]: A malignancy of the esophagus. The most common types are esophageal squamous cell carcinoma and adenocarcinoma. Cancer of the esophagus remains a devastating disease because it is usually not detected until it has progressed to an advanced incurable stage.Note: The disease is caused by mutations affecting the gene represented in this entry.Li-Fraumeni syndrome (LFS) [MIM:151623]: Autosomal dominant familial cancer syndrome that in its classic form is defined by the existence of a proband affected by a sarcoma before 45 years with a first degree relative affected by any tumor before 45 years and another first degree relative with any tumor before 45 years or a sarcoma at any age. Other clinical definitions for LFS have been proposed (PubMed:8118819 and PubMed:8718514) and called Li-Fraumeni like syndrome (LFL). In these families affected relatives develop a diverse set of malignancies at unusually early ages. Four types of cancers account for 80% of tumors occurring in TP53 germline mutation carriers: breast cancers, soft tissue and bone sarcomas, brain tumors (astrocytomas) and adrenocortical carcinomas. Less frequent tumors include choroid plexus carcinoma or papilloma before the age of 15, rhabdomyosarcoma before the age of 5, leukemia, Wilms tumor, malignant phyllodes tumor, colorectal and gastric cancers.Note: The disease is caused by mutations affecting the gene represented in this entry. Ref.38 Ref.152 Ref.153 Ref.154 Ref.155 Ref.156 Ref.175 Ref.177 Ref.182 Ref.183Squamous cell carcinoma of the head and neck (HNSCC) [MIM:275355]: A non-melanoma skin cancer affecting the head and neck. The hallmark of cutaneous SCC is malignant transformation of normal epidermal keratinocytes.Note: The gene represented in this entry is involved in disease pathogenesis.Lung cancer (LNCR) [MIM:211980]: A common malignancy affecting tissues of the lung. The most common form of lung cancer is non-small cell lung cancer (NSCLC) that can be divided into 3 major histologic subtypes: squamous cell carcinoma, adenocarcinoma, and large cell lung cancer. NSCLC is often diagnosed at an advanced stage and has a poor prognosis.Note: The disease is caused by mutations affecting the gene represented in this entry.Choroid plexus papilloma (CPLPA) [MIM:260500]: Slow-growing benign tumor of the choroid plexus that often invades the leptomeninges. In children it is usually in a lateral ventricle but in adults it is more often in the fourth ventricle. Hydrocephalus is common, either from obstruction or from tumor secretion of cerebrospinal fluid. If it undergoes malignant transformation it is called a choroid plexus carcinoma. Primary choroid plexus tumors are rare and usually occur in early childhood.Note: The disease is caused by mutations affecting the gene represented in this entry. Ref.186Adrenocortical carcinoma (ADCC) [MIM:202300]: A malignant neoplasm of the adrenal cortex and a rare childhood tumor. It occurs with increased frequency in patients with Beckwith-Wiedemann syndrome and Li-Fraumeni syndrome.Note: The disease is caused by mutations affecting the gene represented in this entry. Ref.185Basal cell carcinoma 7 (BCC7) [MIM:614740]: A common malignant skin neoplasm that typically appears on hair-bearing skin, most commonly on sun-exposed areas. It is slow growing and rarely metastasizes, but has potentialities for local invasion and destruction. It usually develops as a flat, firm, pale area that is small, raised, pink or red, translucent, shiny, and waxy, and the area may bleed following minor injury. Tumor size can vary from a few millimeters to several centimeters in diameter.Note: Disease susceptibility is associated with variations affecting the gene represented in this entry. Ref.122 Sequence similarities: Belongs to the p53 family. |
| NCBI Summary: | This gene encodes a tumor suppressor protein containing transcriptional activation, DNA binding, and oligomerization domains. The encoded protein responds to diverse cellular stresses to regulate expression of target genes, thereby inducing cell cycle arrest, apoptosis, senescence, DNA repair, or changes in metabolism. Mutations in this gene are associated with a variety of human cancers, including hereditary cancers such as Li-Fraumeni syndrome. Alternative splicing of this gene and the use of alternate promoters result in multiple transcript variants and isoforms. Additional isoforms have also been shown to result from the use of alternate translation initiation codons (PMIDs: 12032546, 20937277). [provided by RefSeq, Feb 2013] |
| UniProt Code: | P04637 |
| NCBI GenInfo Identifier: | 269849759 |
| NCBI Gene ID: | 7157 |
| NCBI Accession: | P04637.4 |
| UniProt Secondary Accession: | P04637,Q15086, Q15087, Q15088, Q16535, Q16807, Q16808 Q16809, Q16810, Q16811, Q16848, Q2XN98, |
| UniProt Related Accession: | P04637 |
| Molecular Weight: | 43,653 Da |
| NCBI Full Name: | Cellular tumor antigen p53 |
| NCBI Synonym Full Names: | tumor protein p53 |
| NCBI Official Symbol: | TP53Â Â |
| NCBI Official Synonym Symbols: | P53; BCC7; LFS1; TRP53Â Â |
| NCBI Protein Information: | cellular tumor antigen p53; antigen NY-CO-13; tumor protein 53; phosphoprotein p53; p53 tumor suppressor; mutant tumor protein 53; transformation-related protein 53 |
| UniProt Protein Name: | Cellular tumor antigen p53 |
| UniProt Synonym Protein Names: | Antigen NY-CO-13; Phosphoprotein p53; Tumor suppressor p53 |
| Protein Family: | p53 and DNA damage-regulated protein |
| UniProt Gene Name: | TP53Â Â |
| UniProt Entry Name: | P53_HUMAN |




