The PIN4 Antibody (CAB18173) is a high-quality antibody developed for reliable detection and analysis of target proteins. This rabbit-raised antibody is highly reactive with human samples and has been validated for use in applications such as Western blotting. PIN4, also known as protein inhibitor of activated STAT 4, is involved in regulating the activity of STAT proteins, which are key players in cellular signaling pathways. By binding to PIN4, this antibody allows for the detection and analysis of PIN4 levels in different cell types, making it an ideal tool for studies in cell biology, oncology, and immunology research.
This antibody is validated for use in WB, ELISA applications and has demonstrated reactivity against Human, Mouse, Rat samples.
Product Name:
PIN4 Antibody
SKU:
CAB18173
Size:
20μL, 100μL
Reactivity:
Human, Mouse, Rat
Immunogen:
Recombinant protein (or fragment).This information is considered to be commercially sensitive.
This gene encodes a member of the parvulin subfamily of the peptidyl-prolyl cis/trans isomerase protein family. The encoded protein catalyzes the isomerization of peptidylprolyl bonds, and may play a role in the cell cycle, chromatin remodeling, and/or ribosome biogenesis. The encoded protein may play an additional role in the mitochondria.
Purification Method
Affinity purification
Gene ID
5303
RRID
AB_2861955
Buffer Information
Store at -20℃. Avoid freeze / thaw cycles. Buffer: PBS containing 50% glycerol, preserved with proclin300 or sodium azide, pH 7.3.
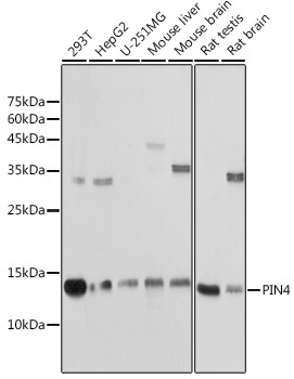
Western blot analysis of various lysates using PIN4 Rabbit pAb (CAB18173) at 1:1000 dilution. Secondary antibody: HRP-conjugated Goat anti-Rabbit IgG (H+L) (CABS014) at 1:10000 dilution. Lysates/proteins: 25μg per lane. Blocking buffer: 3% nonfat dry milk in TBST. Detection: ECL Basic Kit (AbGn00020). Exposure time: 15s.