PIP4K2C Antibody is a premium polyclonal that offers outstanding performance and reliability for demanding research applications. Rigorously validated for ELISA, IHC, IF, this antibody ensures consistent, reproducible results across multiple experimental platforms. Demonstrates excellent reactivity with Human samples, providing researchers with confidence in cross-species compatibility. Conveniently packaged in 50ul format to meet your experimental needs. For optimal performance, store at -20°C or -80°C and maintains stability for 12 months. Backed by rigorous quality control testing to ensure superior performance in your critical research applications.
Product Name:
PIP4K2C Antibody
SKU:
PACO62767
Size:
50μl
Isotype:
IgG
Host Species:
Rabbit
Reactivity:
Human
Immunogen:
Recombinant Human Phosphatidylinositol 5-phosphate 4-kinase type-2 gamma protein (127-408AA )
Immunogen Species:
Homo sapiens (Human)
Uniprot No:
Q8TBX8
Form:
Liquid
Tested Applications:
ELISAIHCIF
Recommended Dilution:
Application
Recommended Dilution
IHC
1:200-1:500
IF
1:50-1:200
Synonyms:
Phosphatidylinositol 4 phosphate 5 kinase antibody, Phosphatidylinositol 4 phosphate 5 kinase type II gamma antibody, Phosphatidylinositol-5-phosphate 4-kinase type II gamma antibody, Phosphatidylinositol-5-phosphate 4-kinase type-2 gamma antibody, PI(5)P 4-kinase type II gamma antibody, PI42C_HUMAN antibody, Pip4k2c antibody, PIP4KII-gamma antibody, PIP5K2C antibody
IHC image of PACO62767 diluted at 1:200 and staining in paraffin-embedded human adrenal gland tissue performed on a Leica BondTM system. After dewaxing and hydration, antigen retrieval was mediated by high pressure in a citrate buffer (pH 6.0). Section was blocked with 10% normal goat serum 30min at RT. Then primary antibody (1% BSA) was incubated at 4°C overnight. The primary is detected by a biotinylated secondary antibody and visualized using an HRP conjugated SP system.
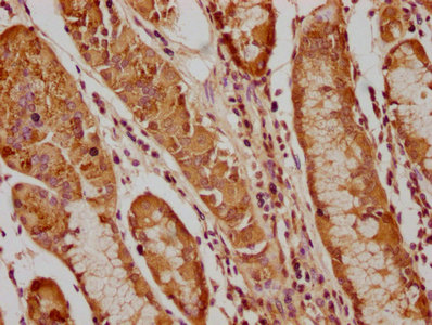
IHC image of PACO62767 diluted at 1:200 and staining in paraffin-embedded human gastric cancer performed on a Leica BondTM system. After dewaxing and hydration, antigen retrieval was mediated by high pressure in a citrate buffer (pH 6.0). Section was blocked with 10% normal goat serum 30min at RT. Then primary antibody (1% BSA) was incubated at 4°C overnight. The primary is detected by a biotinylated secondary antibody and visualized using an HRP conjugated SP system.
Immunofluorescence staining of U251 cells with PACO62767 at 1:100, counter-stained with DAPI. The cells were fixed in 4% formaldehyde, permeabilized using 0.2% Triton X-100 and blocked in 10% normal Goat Serum. The cells were then incubated with the antibody overnight at 4°C. The secondary antibody was Alexa Fluor 488-congugated AffiniPure Goat Anti-Rabbit IgG(H+L).