The PLCXD2 Antibody (CAB7615) is a high-quality antibody developed for reliable detection and analysis of target proteins. This antibody, produced in rabbits, exhibits high reactivity with human samples and has been validated for use in Western blot applications. By binding specifically to the PLCXD2 protein, this antibody allows for accurate detection and analysis in a variety of cell types, making it ideal for investigations in cell biology and signal transduction research.PLCXD2 is known to be a potential regulator of cell growth and differentiation, with implications in cancer development and progression.
This antibody is validated for use in WB, ELISA applications and has demonstrated reactivity against Human, Mouse, Rat samples.
Product Name:
PLCXD2 Antibody
SKU:
CAB7615
Size:
20μL, 100μL
Reactivity:
Human, Mouse, Rat
Conjugate:
Unconjugated
Immunogen:
Recombinant protein (or fragment).This information is considered to be commercially sensitive.
Predicted to enable phosphoric diester hydrolase activity. Predicted to be involved in lipid catabolic process and signal transduction. Predicted to be located in nucleus.
Purification Method
Affinity purification
Gene ID
257068
RRID
AB_2768134
Buffer Information
Store at -20℃. Avoid freeze / thaw cycles. Buffer: PBS containing 50% glycerol, preserved with proclin300 or sodium azide, pH 7.3.
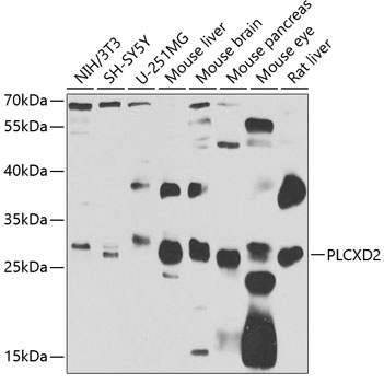
Western blot analysis of various lysates using PLCXD2 Rabbit pAb (CAB7615) at 1:1000 dilution. Secondary antibody: HRP-conjugated Goat anti-Rabbit IgG (H+L) (CABS014) at 1:10000 dilution. Lysates/proteins: 25μg per lane. Blocking buffer: 3% nonfat dry milk in TBST. Detection: ECL Basic Kit (AbGn00020). Exposure time: 90s.