PLEKHS1 Antibody is a premium polyclonal that offers outstanding performance and reliability for demanding research applications. Rigorously validated for ELISA, WB, IHC, this antibody ensures consistent, reproducible results across multiple experimental platforms. Demonstrates excellent reactivity with Human samples, providing researchers with confidence in cross-species compatibility. Conveniently packaged in 50ug format to meet your experimental needs. For optimal performance, store at -20°C or -80°C and maintains stability for 12 months. Backed by rigorous quality control testing to ensure superior performance in your critical research applications.
Product Name:
PLEKHS1 Antibody
SKU:
PACO36354
Size:
50μg
Isotype:
IgG
Host Species:
Rabbit
Reactivity:
Human
Immunogen:
Recombinant Human Pleckstrin homology domain-containing family S member 1 protein (181-462AA)
Immunogen Species:
Homo sapiens (Human)
Uniprot No:
Q5SXH7
Form:
Liquid
Tested Applications:
ELISAWBIHC
Recommended Dilution:
Application
Recommended Dilution
WB
1:500-1:2000
IHC
1:20-1:200
Synonyms:
PLEKHS1 antibody, C10orf81 antibody, Pleckstrin homology domain-containing family S member 1 antibody, PH domain-containing family S member 1 antibody, Epididymis luminal protein 185 antibody, hEL185 antibody
Western Blot Positive WB detected in: A549 whole cell lysate,Hela whole cell lysate,MCF7 whole cell lysate,SY5Y whole cell lysate All lanes: PLEKHS1 antibody at 1:1000 Secondary Goat polyclonal to rabbit IgG at 1/50000 dilution Predicted band size: 52 kDa Observed band size: 52 kDa
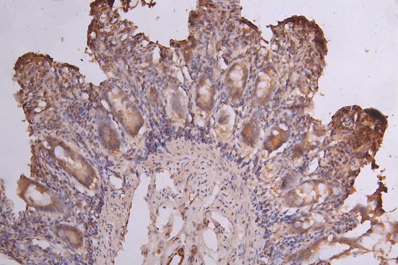
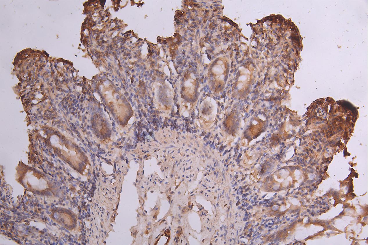
IHC image of PACO36354 diluted at 1:66 and staining in paraffin-embedded human small intestine tissue performed on a Leica BondTM system. After dewaxing and hydration, antigen retrieval was mediated by high pressure in a citrate buffer (pH 6.0). Section was blocked with 10% normal goat serum 30min at RT. Then primary antibody (1% BSA) was incubated at 4°C overnight. The primary is detected by a Goat anti-rabbit polymer IgG labeled by HRP and visualized using 0.05% DAB.
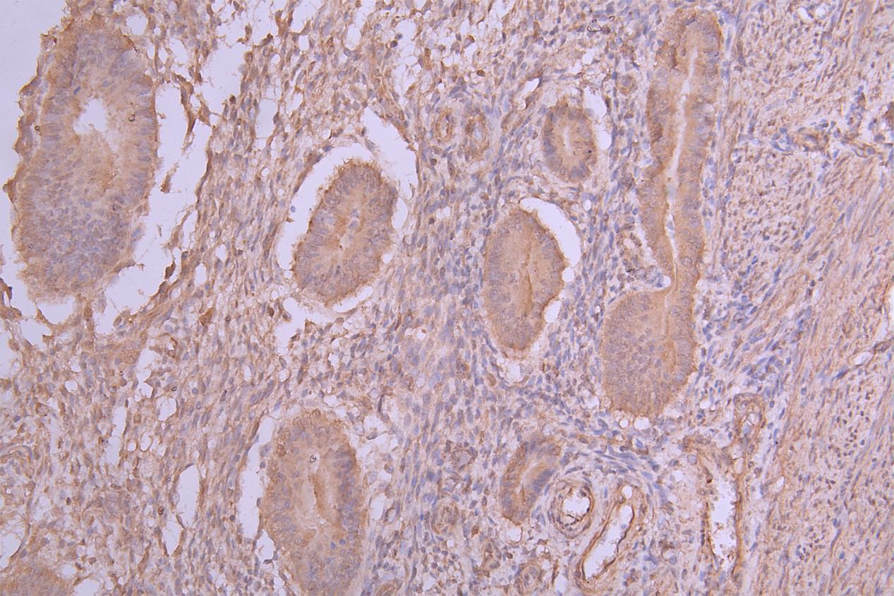
IHC image of PACO36354 diluted at 1:66 and staining in paraffin-embedded human endometrial cancer performed on a Leica BondTM system. After dewaxing and hydration, antigen retrieval was mediated by high pressure in a citrate buffer (pH 6.0). Section was blocked with 10% normal goat serum 30min at RT. Then primary antibody (1% BSA) was incubated at 4°C overnight. The primary is detected by a Goat anti-rabbit polymer IgG labeled by HRP and visualized using 0.05% DAB.