The PNLIP Antibody (CAB7421) is a high-quality antibody developed for reliable detection and analysis of target proteins. This antibody, produced in rabbits, has high specificity and sensitivity for detecting PNLIP in human samples, making it an ideal choice for Western blot applications. PNLIP plays a crucial role in lipid digestion and absorption, making it an important target for studies related to digestive health, obesity, and metabolic disorders.
This antibody is validated for use in WB, IHC-P, IF/ICC, ELISA applications and has demonstrated reactivity against Human, Mouse samples.
Product Name:
PNLIP Antibody
SKU:
CAB7421
Size:
20μL, 100μL
Reactivity:
Human, Mouse
Conjugate:
Unconjugated
Immunogen:
Recombinant protein (or fragment).This information is considered to be commercially sensitive.
Recommended starting concentration is 1 μg/mL. Please optimize the concentration based on your specific assay requirements.
Synonyms:
PL, PTL, PNLIPD, PNLIP
Positive Sample:
BxPC-3
Cellular Localization:
Secreted.
Calculated MW:
51kDa
Observed MW:
51kDa
This gene encodes a member of the lipase family of proteins. The encoded enzyme is secreted by the pancreas and hydrolyzes triglycerides in the small intestine, and is essential for the efficient digestion of dietary fats. Inhibition of the encoded enzyme may prevent high-fat diet-induced obesity in mice and result in weight loss in human patients with obesity. Mutations in this gene cause congenital pancreatic lipase deficiency, a rare disorder characterized by steatorrhea.
Purification Method
Affinity purification
Gene ID
5406
RRID
AB_2767949
Buffer Information
Store at -20℃. Avoid freeze / thaw cycles. Buffer: PBS containing 50% glycerol, preserved with proclin300 or sodium azide, pH 7.3.
Western blot analysis of lysates from BxPC-3 cells, using PNLIP Rabbit pAb (CAB7421) at 1:1000 dilution. Secondary antibody: HRP-conjugated Goat anti-Rabbit IgG (H+L) (CABS014) at 1:10000 dilution. Lysates/proteins: 25μg per lane. Blocking buffer: 3% nonfat dry milk in TBST. Detection: ECL Enhanced Kit (AbGn00021). Exposure time: 15s.
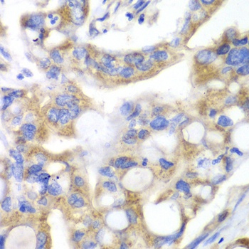
Immunohistochemistry analysis of paraffin-embedded Human liver cancer using PNLIP Rabbit pAb (CAB7421) at dilution of 1:100 (40x lens). Microwave antigen retrieval performed with 0.01M PBS Buffer (pH 7.2) prior to IHC staining.