The PNLIPRP1 Antibody (CAB17520) is a high-quality antibody developed for reliable detection and analysis of target proteins. This antibody, generated in rabbits, exhibits high specificity and sensitivity towards human samples, making it suitable for various applications such as Western blotting and immunohistochemistry.PNLIPRP1, also known as pancreatic lipase-related protein 1, is essential for the breakdown of dietary fats in the pancreas. Dysregulation of PNLIPRP1 has been linked to conditions like pancreatitis and obesity, highlighting its importance in maintaining metabolic health.
This antibody is validated for use in WB, IHC-P, ELISA, IF-P applications and has demonstrated reactivity against Human, Mouse, Rat samples.
Product Name:
PNLIPRP1 Antibody
SKU:
CAB17520
Size:
20μL, 100μL
Reactivity:
Human, Mouse, Rat
Conjugate:
Unconjugated
Immunogen:
Recombinant protein (or fragment).This information is considered to be commercially sensitive.
Recommended starting concentration is 1 μg/mL. Please optimize the concentration based on your specific assay requirements.
Synonyms:
PLRP1, PNLIPRP1
Positive Sample:
BxPC-3, LO2, HepG2, Mouse pancreas, Mouse stomach, Mouse liver, Rat spleen, Rat liver
Cellular Localization:
Extracellular Region.
Calculated MW:
52kDa
Observed MW:
52kDa
Predicted to enable calcium ion binding activity. Predicted to be involved in lipid catabolic process. Predicted to be located in extracellular region. Biomarker of prostate cancer.
Purification Method
Affinity purification
Gene ID
5407
RRID
AB_2771726
Buffer Information
Store at -20℃. Avoid freeze / thaw cycles. Buffer: PBS with 0.01% thimerosal,50% glycerol,pH7.3.
Western blot analysis of various lysates using PNLIPRP1 Rabbit pAb (CAB17520) at 1:1000 dilution. Secondary antibody: HRP-conjugated Goat anti-Rabbit IgG (H+L) (CABS014) at 1:10000 dilution. Lysates/proteins: 25μg per lane. Blocking buffer: 3% nonfat dry milk in TBST. Detection: ECL Basic Kit (AbGn00020). Exposure time: 5s.
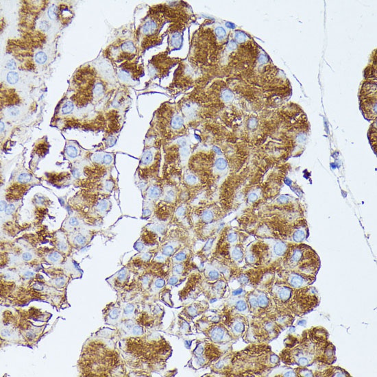
Immunohistochemistry analysis of paraffin-embedded Rat pancreas using PNLIPRP1 Rabbit pAb (CAB17520) at dilution of 1:100 (40x lens). Microwave antigen retrieval performed with 0.01M PBS Buffer (pH 7.2) prior to IHC staining.
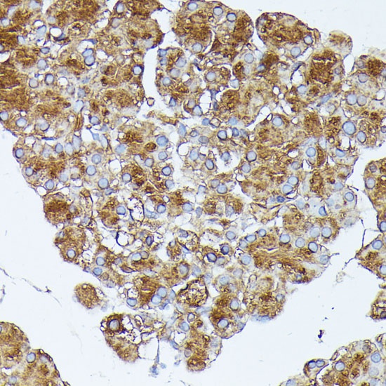
Immunohistochemistry analysis of paraffin-embedded Mouse pancreas using PNLIPRP1 Rabbit pAb (CAB17520) at dilution of 1:100 (40x lens). Microwave antigen retrieval performed with 0.01M PBS Buffer (pH 7.2) prior to IHC staining.
Immunofluorescence analysis of paraffin-embedded rat pancreas using PNLIPRP1 Rabbit pAb (CAB17520) at dilution of 1:100. Secondary antibody: Cy3-conjugated Goat anti-Rabbit IgG (H+L) (CABS007) at 1:500 dilution. Blue: DAPI for nuclear staining.
Immunofluorescence analysis of paraffin-embedded mouse pancreas using PNLIPRP1 Rabbit pAb (CAB17520) at dilution of 1:100. Secondary antibody: Cy3-conjugated Goat anti-Rabbit IgG (H+L) (CABS007) at 1:500 dilution. Blue: DAPI for nuclear staining.