PNPLA5 Antibody is a premium polyclonal that offers outstanding performance and reliability for demanding research applications. Rigorously validated for ELISA, WB, IHC, IF, this antibody ensures consistent, reproducible results across multiple experimental platforms. Demonstrates excellent reactivity with Human samples, providing researchers with confidence in cross-species compatibility. Conveniently packaged in 50ug format to meet your experimental needs. For optimal performance, store at -20°C or -80°C and maintains stability for 12 months. Backed by rigorous quality control testing to ensure superior performance in your critical research applications.
Product Name:
PNPLA5 Antibody (PACO58248)
SKU:
PACO58248
Size:
50μg
Isotype:
IgG
Host Species:
Rabbit
Reactivity:
Human
Immunogen:
Recombinant Human Patatin-like phospholipase domain-containing protein 5 protein (90-205AA)
Immunogen Species:
Homo sapiens (Human)
Uniprot No:
Q7Z6Z6
Form:
Liquid
Tested Applications:
ELISAWBIHCIF
Recommended Dilution:
WB 1:500-1:5000, IHC 1:500-1:1000, IF 1:50-1:200
Synonyms:
PNPLA5 antibody, GS2L antibody, Patatin-like phospholipase domain-containing protein 5 antibody, EC 3.1.1.- antibody, GS2-like protein antibody
Western Blot Positive WB detected in: Colo320 whole cell lysate, A549 whole cell lysate All lanes: PNPLA5 antibody at 3.1µg/ml Secondary Goat polyclonal to rabbit IgG at 1/50000 dilution Predicted band size: 48, 36 kDa Observed band size: 48 kDa
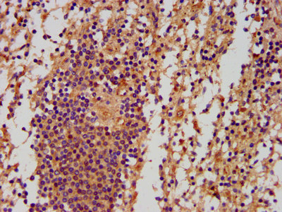
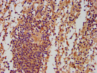
IHC image of PACO58248 diluted at 1:500 and staining in paraffin-embedded human spleen tissue performed on a Leica BondTM system. After dewaxing and hydration, antigen retrieval was mediated by high pressure in a citrate buffer (pH 6.0). Section was blocked with 10% normal goat serum 30min at RT. Then primary antibody (1% BSA) was incubated at 4°C overnight. The primary is detected by a biotinylated secondary antibody and visualized using an HRP conjugated SP system.
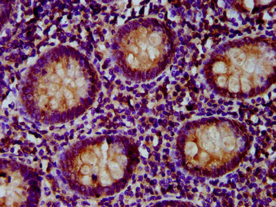
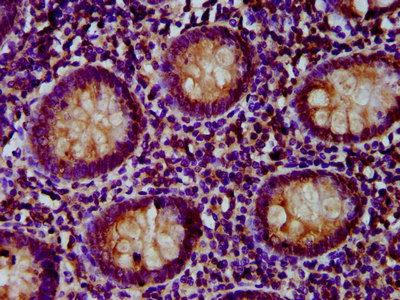
IHC image of PACO58248 diluted at 1:500 and staining in paraffin-embedded human appendix tissue performed on a Leica BondTM system. After dewaxing and hydration, antigen retrieval was mediated by high pressure in a citrate buffer (pH 6.0). Section was blocked with 10% normal goat serum 30min at RT. Then primary antibody (1% BSA) was incubated at 4°C overnight. The primary is detected by a biotinylated secondary antibody and visualized using an HRP conjugated SP system.
Immunofluorescence staining of HepG2 cells with PACO58248 at 1:166, counter-stained with DAPI. The cells were fixed in 4% formaldehyde, permeabilized using 0.2% Triton X-100 and blocked in 10% normal Goat Serum. The cells were then incubated with the antibody overnight at 4°C. The secondary antibody was Alexa Fluor 488-congugated AffiniPure Goat Anti-Rabbit IgG(H+L).